Contents
[Introduction] [1. Review of the main features characterizing Zergabriella]
[2. Morphological classification induced by the location of the reproductive structures]
[3. Avatars of Zergabriella]
[4. Revision of the Macroporella espichelensis material]
[5. Systematics]
[Conclusions]
[Bibliographic references] [Videos] [Plates] and ... [Appendix]
Université Européenne de Bretagne, Brest (France);
Université de Brest; CNRS; IUEM; Domaines Océaniques UMR 6538, 6 Avenue Le
Gorgeu, CS 93837, F-29238 Brest Cedex 3 (France);
postal address: Département des Sciences de la Terre et de l'Univers,
UFR des Sciences et Techniques, Université de Bretagne Occidentale (UBO), 6 avenue Le
Gorgeu - CS 93837, F-29238 Brest Cedex 3 (France)
Manuscript online since May 31, 2010
A new genus, Bucurella, is described and figured; it is based on Macroporella espichelensis et , 1971, a taxon known only from the Late Jurassic. It is characterized by the presence of distinctive whorls, each with three thick and broad (fertile) ramifications. The lateral division formula is 1 F: 3 F: (3x2) F: (3x2x2) F = (1: 3: 6: 12); that is the primary ramification divides into three secondaries which in turn branch dichotomously into tertiaries and again into quaternaries. It and its descendant, Zergabriella, are assigned to the Tribe Thyrsoporelleae.
Algae; Dasycladales; Thyrsoporelleae; systematics; new genus.
B. (2010).- Bucurella, a new genus of the Thyrsoporelleae (fossil Dasycladalean algae).- Carnets de Géologie / Notebooks on Geology, Brest, Article 2010/03 (CG2010_A03)
Bucurella, un nouveau genre de Thyrsoporelleae (algues dasycladales fossiles).- Macroporella espichelensis et , 1971, une espèce connue exclusivement au Jurassique terminal, est choisie comme espèce-type de Bucurella nov. gen. Ce dernier est caractérisé par l'existence de verticilles portant trois rameaux larges et épais (fertiles) chacun. Ces rameaux sont divisés selon la formule 1 F : 3 F : (3x2) F : (3x2x2) F = (1 : 3 : 6 : 12) ; c'est-à-dire que la ramification d'ordre I donne naissance à trois ramifications d'ordre II qui vont elles-mêmes se diviser dichotomiquement en ramifications d'ordre III et elles-mêmes en ramifications d'ordre IV. Le nouveau genre, tout comme Zergabriella qui en est issu, est rattaché à la tribu des Thyrsoporelleae.
Algues ; Dasycladales ; Thyrsoporelleae ; systématique ; nouveau genre.
Restudy of numerous specimens of Macroporella embergeri et , 1968, led to a reinterpretation of the body plan of this alga and the establishment of the genus Zergabriella ,
1989. A discrete species, Macroporella espichelensis et , 1971, has often been confused with Zergabriella embergeri
(Fig. 1
) for among other similar characteristics both have the same type of calcification. Nevertheless, these species are generically distinct as
this paper demonstrates.
The classification of the Dasycladales is based on the fundamental criteria listed below. Here we examine these diagnostic criteria with respect to the generic characteristics of both Macroporella (, 1912) and Zergabriella.
1.1 - The first criterion is the arrangement of the laterals: In Macroporella the distribution of the laterals along the main axis (at the level of their insertion points) has no express arrangement; this type of ordering (actually a lack of ordering) is termed
"aspondyle". But in Zergabriella embergeri the laterals are distributed symmetrically around the main axis; this regular arrangement of the whorls
(Figs. 2
& 9A
,
videos 5
- 6
) is termed "euspondyle". Therefore the euspondyle Zergabriella cannot be assigned to the Family Seletonellaceae to which the aspondyle Macroporella is referred.
1.2 - A second parameter is the position occupied by the cysts developed when the alga reaches maturity. In Macroporella cysts remained in the main axis; this is a characteristic of the most primitive Dasycladales and these forms are "endospore". But the narrow main axis of Zergabriella embergeri had little room to host the gametangia, so they migrated into the more spacious laterals; this location indicates a more advanced stage of evolution and these forms are "cladospore". They are assigned the Family Triploporellaceae.
1.3 - The third parameter is the presence or absence of branching in the laterals. In Macroporella the coarse calcareous sleeve is perforated by narrow pores that are the trace of the passage of the laterals through the
sleeve; these pores never branch. In Zergabriella mbergeri the laterals are broad and may divide up to the third
order
(Fig. 9A
,
video 4
). This additional criterion, that is the number of orders of ramifications occurring in the laterals (*), here more than 2,
allocates this species to the Tribe Thyrsoporelleae.
(*): Ramifications are the discrete segments of laterals resulting from their branching. The "first order" or "primary" ramification is the proximal portion of the lateral, between the insertion point on the main axis and the first branching.
In Zergabriella embergeri the degree of calcification of the thallus is variable:
Some specimens have structures in the axial cavity of the thallus that and (1968) interpreted as being "cavités sporangiques" (sporangial cavities); in fact they
are the proximal end of laterals, bent and narrowed to some fifty µm ( & , 1968:
Pl. 4, figs. 1-4; , 1989: Pl. 1, figs. 1-3 & 5). It is very common that this element, originally aragonitic or
uncalcified, is not preserved
(Fig. 1
vs Fig. 2
). But in the specimens figured here the cylindrical main axis is narrower than the dimensions ordinarily reported for the axial cavity: it is 0.10-0.16 mm in diameter rather than 0.35-0.375 mm. In addition, these unusually complete specimens demonstrate that this alga is clearly "verticillated", that is,
it is a euspondyle. A verticil (a whorl made up of laterals) ranges in height between 0.17 and 0.35 mm.
As mentioned, in most specimens, these remnants of the proximal end of laterals are absent. Both their locations and the site of the main axis is replaced by an "axial cavity". The calcification of the remainder of the laterals consists of a micritic fringe with a thin layer of drusy calcite crystals on the inner side.
Most transverse or oblique sections commonly show a second (, 1989: Pl. 1, figs. 4 & 7; Pl. 2, figs. 3 & 6-7), if not a third order of calcified ramifications ( & , 1968: Pl. 4, fig. 4; , 1989: Pl. 2, figs. 1-2 & 5). These ramifications may attain or even exceed a width of 0.3 mm. The ramifications of the last order form a cortex and the more or less regular arrangement of their distal ends within this cortex is consequent on the constraints that the growing laterals imposed on each other.
In an ideal transverse section, there are 6 to 8 laterals per verticil, each made up of one primary, two secondary and four tertiary calcified ramifications. It appears at first glance that the formula for the division of the laterals is 1: 2: (2x2=4).
However certain sections (, 1989:
Pl. 1, fig. 6; Pl. 2, figs. 4 & 6) reveal the existence of very fine ramifications (30 to 50 µm), their narrowness supposedly indicating that they were
sterile (Figs. 3
- 4
). These ramifications are not always clearly
visible, either because they were not developed or because they were not fossilized. The division formula turns to be 1 F: (2F + 1 St): (2x2=4) F.
Some tiny spheres interpreted as cysts were seen in the axial cavities of poorly fossilized specimens, thus suggesting that they were introduced late in the fossilization process (, 1989: Pl. 2, figs. 7-8). In most of these occurrences cysts or pluricystic aggregates were also seen in the laterals (, 1989: Pl. 2, fig. 9). The diameter of these cysts is about 30 µm.
Taken together, the characters listed above were sufficient to warrant the creation of a new genus. The generic diagnosis: "Algue Dasycladale euspondyle (Dasycladacée), cladospore, avec de larges ramifications (fertiles), calcifiées jusqu'au deuxième ou au troisième ordre, et présentant parfois de fines ramifications (stériles)" (, 1989), translated from the French, follows: Euspondylous, cladospore Dasycladalean alga (Dasycladaceae), with broad (fertile) ramifications, calcified up to the second or third order, and sometimes with thin (sterile) ramifications.
Click on the thumbnail to enlarge the image.
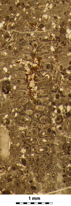
Figure 1: Zergabriella embergeri ( & , 1968), , 1989: longitudinal oblique (subaxial) section.- n° 15-3 DAS A 37, thin section Z-226.
Click on the thumbnail to enlarge the image.
Figure 2: Zergabriella embergeri ( & , 1968), , 1989: longitudinal oblique (subaxial) section with the so-called "cavités sporangiques" which are the proximal end of laterals.- Collection, thin section PZ 982.
Click on the thumbnail to enlarge the image.
Figure 3: Zergabriella embergeri ( & , 1968), , 1989: tangential section; note the occurrence of the thin secondary sterile ramifications (arrows).- n° 2, thin section Ba 1 ~2402m.
Click on the thumbnail to enlarge the image.
Figure 4:
Zergabriella embergeri ( & ,
1968), , 1989: detail of the (longitudinal) oblique
section illustrated in Pl. 3
,
fig. 1; note the occurrence of the thin secondary sterile ramifications (arrows)
and their branching stage from the primary fertile ramification.- Collection,
"Mont Rose", Marseilles (France).
The Family Triploporellaceae which includes all euspondylous, cladospore Dasycladales was set up by and in 1992, that is 3 years after the new genus was introduced. Consequently, the genus Zergabriella was ascribed by default to the Family Dasycladaceae.
However it would be misleading to exclude this genus from the Dasycladaceae and to transfer it to the Triploporellaceae solely on the fact that it has been determined to be a cladospore.
As reported above:
Endospore dasycladales (all extant) have narrow laterals and the cysts form only in the main axis;
Cladospore dasycladales (all extant) have laterals with inflated first-order ramifications and, if present, narrow higher-order ramifications. The cysts form in the primary ramifications.
Another type known as choristospore (and umbrellospore) develops specialized cyst-bearing appendages, the gametophores (= fertile ampullae), which are located either at the distal end of the ramifications or ... along them. Although both were previously assigned the choristospore group, we now suggest that those of these forms in which the ampullae are disposed laterally along first order ramifications (example: Bornetella , 1877) be designated by the term 'goniophore'. The term choristospore is then restricted to those forms in which the ampullae are in a terminal position on the ramifications (of any order). The umbrellospores are distinguished from the choristospores because their cysts are markedly elongated and they commonly coalesce along in one whorl to form a distinctive disc (example: Acetabularia acetabulum (), 1952).
None of the reproduction-related morphological categories discussed here match the features displayed in Zergabriella. In that genus both first and higher order ramifications were inflated and did not develop true gametophores. The term "syringospore", derived from the ancient Greek word "syrinx" (a one-reed pipe or panpipe), is proposed here to designate forms with laterals consisting of more than one order of inflated ramifications, in which the cysts, visible or not, were located.
Click on the thumbnail to enlarge the image.
Figure 5: Zergabriella embergeri ( & , 1968), , 1989: SEM views. 1. fragment of the calcified stem.- Collection, Sample C6 107-8, Saint-Claude, Jura central (France), Vions Formation (M5 Zone), Upper Berriasian; 2. detail of the upper end of the specimen showing the pattern of the laterals; 3. fragment of the calcified stem.- Collection, Sample F4, Mont Faron, Toulon (France), "Faciès purbeckiens provençaux" (M5 Zone), Upper Berriasian; 4. detail of the specimen showing the calcification around the laterals (pores partly infilled with larger calcitic crystals); boundaries between the discrete coatings of adjacent laterals or ramifications (in the same lateral) are scarcely visible.
Soon after the publication of Macroporella embergeri et , 1968, (1970a, 1970b) introduced a new species, named "Dasycladacea" nisi (nomen nudum). This form, which until 1975 was not published validly, was renamed under the new combination Triploporella ? nisi , 1975, non 1970. It is a junior synonym of Macroporella embergeri.
More recently, using well-preserved specimens but making erroneous tri-dimensional reconstructions, (1999) emended the diagnosis of the genus Zergabriella , 1989. He went even farther, for he introduced a new species that he ascribed to that genus: Zergabriella neaguii n. sp., and also described two new taxa, a genus and its type species: Pseudosalpingoporella cernavodensis n. gen. n. sp. As a matter of fact all the specimens he illustrated are ascribable to one unique species Zergabriella embergeri (and one genus Zergabriella). This error necessitates these taxa being regarded as junior synonyms of the previous designation, and both the generic and specific emendations are null and void.
The type material of Macroporella espichelensis et , 1971, is stored in the Geology Laboratory of the
TOTAL Scientific and Technical Centre (formerly S.N.E.A.(P.) C.S.T.J.F.) in Pau. Some features characterizing this form are similar to those of Zergabriella embergeri so it was transferred to the
then newly erected genus. However, the pattern of branching differs significantly, for in this species each verticil consists of only three laterals which divide according to the following formula 1: 3: (3x2=6): (3x2x2=12)
(see & , 1971:
Pl. 1, fig. 5; Pl. 2, figs. 2 & 4) - and lack sterile ramifications (see & , 1971:
Pl. 1, fig. 6; Pl. 2, figs. 1 & 6). Hypothetically, the absence of fertility in one of the three second-order ramifications would as a consequence increase the number of laterals per verticil (Fig. 7
,
Video 7
)
and bring its formula close to that of Zergabriella embergeri: 1F: (2F + 1St): 4F. Figures
8 (old) and 9 and Video 1 and 4 (new) suggest a reconstitution of the form of the laterals of the two species.
The pattern of the laterals (and more specifically the division of the ramifications in the laterals) is a fundamental criterion of Dasycladalean classification at the generic level. Using this criterion, a new genus is introduced here to accommodate this discrete species.
Click on the thumbnail to enlarge the image.
Figure 6: Bucurella espichelensis ( & , 1971), n. gen., n. comb.: paratypes; isolated specimens (= Pl. 1, figs. 1-4 in & , 1971).- Collection, H 135, "Portlandien sup.", "Valanginien de Cascais" (Portugal).

Click on the thumbnail to enlarge the image.
Figure 7: Drawings of serial sections of Bucurella espichelensis, n. gen., n. comb., illustrating the branching pattern in the laterals (i.e., in the pores).
Order Dasycladales
Family Triploporellaceae
Tribe Thyrsoporelleae
Genus Zergabriella emend.
Emended generic diagnosis: Euspondylous Dasycladalean alga, syringospore (Triploporellaceae), with laterals consisting of both broad inflated (fertile) ramifications, calcified up to the second or third order, and thin (sterile) ramifications. Branching formula for the laterals: 1F : (2F + 1St) : 4F, that is 1F : (1St + 2F : (2x2=4F)).
Type species: Macroporella embergeri et , 1968.
Zergabriella embergeri ( et , 1968) , 1989
(Figs. 1
,
2
,
3
,
4
&
5
;
Pls. 1
,
2
,
3
&
4
)
Synonymy:
| 1968 | Macroporella embergeri, n. sp.- & , Pl. 4, figs. 1-10 (1: holotype; 5 & 6: "paratypes") | |
| (nom. nud.) | 1969-1970a | "Dasycladacea" nisi, n. sp.- , Pl. VIII, figs. 1-3; Pl. IX, figs. 1-4 |
| 1987 | Macroporella embergeri.- , Pl. 30, figs. c-e | |
| 1988 | Macroporella embergeri.- , Pl. 1, figs. c-e (1987 Macroporella embergeri.- , Pl. 30, figs. c-e) | |
| 1988 | Macroporella ? embergeri.- & , Fig. 2 | |
| 1988 | Macroporella embergeri.- , Pl. XIII, figs. 1-3 | |
| 1989 | Zergabriella embergeri, n. gen., n. comb.- , synonymy to date, Pl. 1, figs. 1-7; Pl. 2, figs. 1-9 | |
| 1991 | ? Triploporella embergeri, n. comb.- & , Pl. 8, figs. 3-4 | |
| 1991 | Zergabriella embergeri.- & , Pl. 3, fig. 7 & 12 | |
| 1992 | Macroporella embergeri.- , Pl. 2, figs. 3-4 | |
| 1993 | Zergabriella embergeri.- , Pl. I, fig. 3 | |
| 1993 | Zergabriella embergeri.- , Pl. 1, fig. 4 (=1976 Macroporella embergeri.- , Pl. 2, fig. 5) | |
| 1993 | Macroporella embergeri.- et alii, Fig. 7.e | |
| 1994 | Zergabriella embergeri.- , Pl. II, figs. 3-6 | |
| 1997 | Zergabriella embergeri.- , Pl. I, fig. 10 | |
| 1998 | Zergabriella embergeri.- , Pl. XVII, figs. 6-8 | |
| 1999 | Zergabriella embergeri.- , Pl. 3, figs. 5-7 & 8(Z); Pl. 4, figs. 1-2 & 4 | |
| 1999 | Zergabriella neaguii n. sp.- , Pl. 3, fig. 8(D); Pl. 4, figs. 3 & 5-7 (6: holotype) | |
| 1999 | Pseudosalpingoporella cernavodensis n. sp.- , Pl. 3, fig. 8(S); Pl. 4, figs. 8-9 (9: holotype) | |
| 2002 | Zergabriella embergeri.- et alii, Fig. 6.F (=1998 Zergabriella embergeri.- , Pl. XVII, fig. 8) & 6.G (=1998 Zergabriella embergeri.- , Pl. XVII, fig. 6) | |
| 2003 | Zergabriella sp.- & , Pl. 11, fig. 10 | |
| 2005 | Zergabriella embergeri.- , Pl. II, fig. 7 | |
| 2006 | Zergabriella embergeri.- et alii, Pl. 7, fig. 4 | |
| NON | 2008 | Zergabriella embergeri.- & , Pl. 1, fig. A (possibly Otternstella lemmensis (, 1971) et alii, 1995) |
| NON | 2008 | Zergabriella ? cf. embergeri.- & , Pl. 4, figs. A-B |
Genus Bucurella n. gen.
Derivatio nominis: The new taxon is dedicated to Professor Ioan I. , "Babes-Bolyai" University (Romania).
Generic diagnosis: Euspondylous Dasycladalean alga, syringospore (Triploporellaceae), with but few laterals that, depending on the degree of calcification, branch according to the formula 1: 3: (3x2=6) - and possibly one more set : (3x(2x2) = 12), that is 1 : (3 : ((3x2=6) : ((3x2)x2=12))) in non abraded or better calcified specimens - into broad inflated (fertile) calcified ramifications.
Type species: Macroporella espichelensis et , 1971.
Bucurella espichelensis et , 1971, emend., n. comb.
Synonymy:
| 1971 | Macroporella espichelensis, n. sp.- & , Figs. 1-1 & 1-2; Pl. 1, figs. 1-5 (1-4: paratypes); Pl. 2, figs. 1-6 (1: holotype; 4 & 6: paratypes) | |
| 1971 | Zergatella sp. 1.- , Pl. XXXI, figs. 1-2 & 4 (non 3 & 5) | |
| NON | 1977 | Macroporella espichelensis.- , Pl. 4, figs. 1-4 |
| NON | 1978 | Macroporella cf. espichelensis.- , Pl. X, figs. 7-9 |
| 1978 | Macroporella espichelensis.- et alii, Pl. 18, fig. 6 (= Pl. 2, fig. 4 in & , 1971) & 7 (= Pl. 2, fig. 1 in & , 1971) | |
| NON | 1984 | Macroporella espichelensis.- , Pl. 1, figs. 5-6 |
| NON | 1987 | Macroporella espichelensis.- , Pl. 21, figs. 1-3 |
| 1989 | Zergabriella espichelensis, n. comb.- , not illustrated |
Click on the thumbnail to enlarge the image.
Figure 8: Reconstruction of the pattern of a lateral in A) Zergabriella embergeri (left) and in B) Bucurella espichelensis (right, with 3 orders of ramifications only) after , 1989.
Click on the thumbnail to enlarge the image.
Figure 9: Schematic reconstruction of the pattern of the laterals and their arrangement within a whorl for A) Zergabriella embergeri (left) and for B) Bucurella espichelensis (right).
The Tribe Thyrsoporelleae consists of the following genera, in order of appearance:
Whether or not the genera Trinocladus , 1922, and Sarosiella , 1972, should be assigned this tribe is not yet resolved.
Although this group is relatively homogeneous, the absence of phyletic continuity between the several representatives is striking and exists even between species of the same genus. For example, see Thyrsoporella with its discontinuous stratigraphic record. Two factors may be involved: on one hand a documentary lacuna (the fossils have not been found), on the other - and just as probable - the absence of calcification or a weak expression thereof, well known in numerous existing Dasycladales, and consequently having a poor potential for preservation, two factors that are often neglected in synthetic studies of the fossil representatives of this Order.
This publication follows the author's presentation (, 2005) at the 5th Regional Symposium of the International Fossil Algae Association at Ferrara, Italy (August 30th-31st, 2005). It was originally planned that the Symposium communications be published in a special issue of Neues Jahrbuch für Geologie und Paläontologie, but the author withdrew his submittal for publication therein as it is not technically feasible to reproduce 3-dimensional models of these algae in a paper-printed journal.
The author warmly thanks Pierre and Jean-Louis for giving him access to the micropaleontological collections of
the TOTAL Scientific and Technical Centre (CSTJF) in Pau and for facilitating
their loan. Thanks are also due Raoul who
gave his invaluable collection to Bruno,
thus making him his "scientific heir", and to Pierre-Olivier
who found these beautifully preserved specimens of Zergabriella embergeri
(some of which are illustrated in Fig. 5
)
while looking for Berriasian charophytes
and sent them to the author in 1989.
Nestor contributed to the easy comprehension of this
publication
by suggesting corrections and emendations to its English.
T. (1988).- Étude sédimentologique, minéralogique, micropaléontologique et stratigraphique du Berriasien - Valanginien du Jura central.- Thèse de Doctorat de l'Université de Neuchâtel, 481 p.
S., J.M., C., E., C., R., V. & R. (2006).- Caracterizaciòn bioestratigráfica y paleoambiental del Cretácico Inferior (Berriasiense-Barremiense) del Macizo de Garraf (Cadena Costera Catalana).- Revista Española de Micropaleontología, Madrid, vol. 38, n° 2-3, p. 429-451.
E., L., E., A., M., M., T., S. & C. (1993).- Cretaceous terrestrial and shallow marine deposits in northern South Dobrogea (SE Rumania).- Cretaceous Research, London, vol. 14, n° 3, p. 265-305.
J.-P., P., M.A., R. & M. (1978).- Les Algues Dasycladales du Jurassique et du Crétacé ; révision critique.- Geobios, Villeurbanne, Mémoire spécial, n° 2, 330 p.
P. (1984).- Les formations carbonatées du Kimméridgien et du Portlandien dans le Jura méridional : stratigraphie, micropaléontologie, sédimentologie.- Thèse Doctorat d'État, Université Claude Bernard, Lyon 1; Documents des Laboratoires de Géologie de Lyon, Villeurbanne, n° 92, fasc. 1-2, 803 p.
S. & M.J. (1992).- Dasycladales: an illustrated monograph of a fascinating algal order.- Georg Thieme Verlag, Stuttgart, 247 p.
J.M. (1998).- L'Urgonien du bassin d'Organyà (NE Espagne) : Micropaléontologie, sédimentologie et stratigraphie séquentielle.- Thèse, Docteur de l'Université Joseph Fourier - Grenoble 1, 206 p.
J.M., A. & E. (2002).- Stratigraphic distribution of Valanginian-Early Aptian shallow-water benthic foraminifera and algae, and depositional sequences of a carbonate platform in a tectonically-controlled basin: the Organyà Basin, Pyrenees, Spain.- Cretaceous Research, London, vol. 23, n° 1, 25-36.
J. & R. (1968).- Les algues du Néocomien d'Aquitaine.- Bulletin du Centre de Recherche Pau - SNPA, Pau, vol. 2, n° 2, p. 213-261.
I.I. (1994).- Algues calcaires de la zone de Resita-Moldova Noua (Carpathes méridionales, Roumanie).- Revue de Paléobiologie, Genève, vol. 13, n° 1, p. 147-209.
M.A. & D.S. (1988).- Expert systems identify fossils and manage large paleontological databases.- Geobyte, Tulsa, vol. 3, n° 1, 42-46.
R. & M. (1971).- Macroporella (Macroporella) espichelensis n. sp., Dasycladacée pordandienne du Portugal et observations sur le genre Macroporella , 1912.- Bulletin du Centre de Recherche Pau - SNPA, Pau, vol. 5, n° 2, p. 189-201.
R. & F. (1991).- Mikrofazies, Paläontologie un Stratigraphie des Lerchkogelkalke (Tithon-Berrias) des Dietrichshorns (Salzburger Land, Nördliche Kalkalpen).- Jahrbuch der Geologischen Bundesanstalt (Austria), Wien, Band 134, Heft 2, p. 205-226.
O. (1999).- Jurassic-Cretaceous calcareous algae of the Transylvanides, Inner Dacides and Moesian platform (Romania).- Revista Española de Micropaleontología, Madrid, vol. 31, n° 2, p. 185-218.
O.N. & D.K. (2003).- Calcareous algae and foraminifers from Neocomian limestones of Methana peninsula, Asprovouni Mts. (Greece) and from South Dobrogea (Romania).- Analele Universităţii Bucureşti, Bucharest, (Geology), Special Publication n° 1, p. 57-127.
F. (1977).- Algues nouvelles du Jurassique supérieur de l'Atlas saharien.- 6e Colloque africain Micropaléontologie, Tunis, mars 1974.- Annales des Mines et de la Geologie, Tunis, vol. 28, p. 239-251.
A. & R. (1991).- Late Jurassic - Early Cretaceous dasycladales (green algae) from the western Pontides, Turkey.- Geologica Romana, Roma, vol. XXVII, p. 135-165.
M. (1978).- El Jurasico terminal y el Cretacico inferior en las Sierras de Cazorla y Segura (Zona prebetica).- Tesis doctorales de la Universidad de Granada, 190, 344 p.
B. (1987).- Le Crétacé inférieur de la Costa Blanca entre Busot et Altea, Alicante (Espagne) : Biostratigraphie, sédimentologie, évolution tectono-sédimentaire.- Thèse, Docteur de l'Université Paris VI (nouveau régime), 23 Novembre 1987; Mémoires des Sciences de la Terre, Université Pierre et Marie Curie, Paris, 87-49, 2 vols.: I (text: 281 p.), II (plates).
B. (1988).- Algues Chlorophyceae du Jurassique terminal et du Crétacé inférieur en Alicante.- Mediterranea, Alicante, n° 5 (1986), p. 5-96.
B. (1989).- Zergabriella, un nouveau genre d'algue dasycladale du Portlandien-Valanginien.- Revue de Micropaléontologie, Paris, vol. 32, n° 2, p. 126-133.
B. (1992).- Les Algues et Foraminifères benthiques du Jurassique supérieur et du Crétacé inférieur du Sénégal.- Journal of African Earth Sciences, Oxford, vol. 14, n° 2, p. 239-253.
B. (2002).- Algues Dasycladales, nouvelles ou peu connues, du Jurassique supérieur et du Crétacé inférieur du Moyen-Orient - New or little known Dasyclad algae from Upper Jurassic and Lower Cretaceous series of the Middle East. In: I.I. & S. (eds.), Research advances in calcareous algae and microbial carbonates.- Proceedings of the 4th IFAA Regional Meeting (Cluj-Napoca, August 29 - September 5, 2001), Presa Universitara Clujeana, Cluj-Napoca, p. 103-113.
B. (2005).- The genus Zergabriella, a review. In: 5th Regional Symposium of the International Fossil Algae Association, Ferrara (August 30th-31st), Abstracts.- Museologia Scientifica e Naturalistica, Annali dell'Università degli Studi di Ferrara, Museologia Scientifica e Naturalistica, vol. 1, p. 24.
B., J.-P. & P.-Y. (1995).- Heteroporella lepina , 1967, revisited (followed by taxonomic notes on the so-called "Heteroporella" species). In: Proceedings of the International Symposium and Field-Meeting "Alpine Algae '93".- Beiträge zur Paläontologie, Wien, n° 19 (1994), p. 129-141.
S.A. & M.A. (2008).- Calcareous algae, foraminifera and sequence stratigraphy of the Fahliyan Formation at Kuh-e-Surmeh (Zagros Basin, SW of Iran).- Geologia Croatica, Zagreb, vol. 61, n° 2-3, p. 215-237.
J.-P. (1976).- Les calcaires urgoniens de Provence. Valanginien - Aptien inférieur.- Thèse de Doctorat (4 décembre 1976), Université d'Aix-Marseille II, 2 vols., 445 p.
J.-P. (1993).- Early Cretaceous Dasycladales biostratigraphy from Provence and adjacent regions (South of France, Switzerland, Spain). A reference for Mesogean correlations.- In: F., P. & M. (eds.), Studies on fossil benthic algae.- Bolletino della Societa Paleontologica Italiana, Modena, Volume Speciale 1, p. 311-324.
F. (1987).- Stratigraphie et paléogéographie du Mésozoïque du Chiapas (Sud-Est du Mexique).- Thèse, Docteur de l'Université Paris VI (nouveau régime), 9 Avril 1987; Mémoires des Sciences de la Terre, Université Pierre et Marie Curie, Paris, vol. 87-10, 277 p.
R. (1969).- Jurske i kredne dazikladacee istočne Srbije.- Zavod za Geoloka i Geofizička Istraivanja, Vesnik, (Serija A), Beograd, t. XXVII (1969), p. 177-190.
R. (1970a).- Jurassic and Cretaceous Dasycladaceans of Eastern Serbia.- Zavod za Geoloka i Geofizička Istraivanja, Vesnik, (Serija A), Beograd, N° XXVII (1969), p. 193-220.
R. (1970b).- Algae in the Jurassic and the Cretaceous of south Herzegovina.- Geoloki Glasnik, Sarajevo, vol. 14, p. 99-107.
R. (1975).- Linoporella buseri sp. nov. from the Liassic of the Julian Alps.- Bulletin scientifique, Conseil des Académies des Sciences et des Arts de la R.S.F. de Yougoslavie, Zagreb, (Section A: Sciences naturelles, techniques et médicales), t. 20, N° 9-10, p. 277-278.
M.M. (1971).- Contribution à l'étude micropaléontologique et stratigraphique du Jurassique supérieur et du Crétacé inférieur des environs de Lisbonne.- Serviços geológicos de Portugal, Memória, Lisboa, (Nova Série), N° 19, 212 p.
F. (1993).- Kretazische Grünalgen aus Flachwassergesteinen der Nördlichen Kalkalpen: Ein Überblick.- Zitteliana, Reihe B: Abhandlungen der Bayerischen Staatssammlung für Paläontologie und Geologie, München, Heft 20, p. 123-132.
F. (2005).- Neogyroporella ? gawlicki, a new Dasycladale from the Upper Jurassic-Lower Cretaceous "Lärchberg Formation" of the Northern Calcareous Alps, Austria.- Geologia Croatica, Zagreb, vol. 58, n° 2, p. 103-117.
A. (1997).- Stratigraphie, sédimentologie et dynamique d'une plate-forme carbonatée : le Berriasien supérieur - Valanginien basal de Basse-Provence occidentale (S.E. France).- Thèse de Doctorat de l'Université de Provence - Aix-Marseille I (6 juin 1997), 196 p.
Click on image to play the video file (flv = 1,346 KB)
or click on the icon
to open and play another version of video file (mpg = 817 KB)
Video 1: Reconstruction of the pattern of a lateral
(calcified coating) of Bucurella espichelensis ( & ,
1971), n. gen., n. comb.
Click on image to play the video file (flv = 711 KB)
or click on the icon
to open and play another version of video file (mpg = 1,419 KB)
Video 2: Reconstruction of
a whorl (consisting of 3 laterals) of Bucurella espichelensis ( & ,
1971), n. gen., n. comb.
Click on image to play the video file (flv = 725 KB)
or click on the icon
to open and play another version of video file (mpg = 3,533 KB)
Video 3: Reconstruction of
a segment of the thallus (calcified coating) of Bucurella espichelensis ( & ,
1971), n. gen., n. comb.
Click on image to play the video file (flv = 1,283 KB)
or click on the icon
to open and play another version of video file (mpg = 668 KB)
Video 4: Reconstruction of the pattern of a lateral
(calcified coating) of Zergabriella embergeri ( & ,
1968), , 1989.
Click on image to play the video file (flv = 709 KB)
or click on the icon
to open and play another version of video file (mpg = 1,415 KB)
Video 5: Reconstruction of
a whorl (consisting of 3 laterals) of Zergabriella embergeri ( & ,
1968), , 1989.
Click on image to play the video file (flv = 711 KB)
or click on the icon
to open and play another version of video file (mpg = 2,056 KB)
Video 6: Reconstruction of a segment of the thallus (calcified coating) of Zergabriella embergeri ( & , 1968), , 1989.
Click on image to play the video file (flv = 3,565 KB)
or click on the icon
to open and play another version of video file (mpg = 1,782 KB)
Video 7: Drawings of serial sections of Bucurella espichelensis, n. gen., n. comb., illustrating the branching pattern in the laterals (i.e., in the pores).
Click on the thumbnail to enlarge the image.
Plate 1:
fig. 1:
Zergabriella embergeri ( & ,
1968), , 1989: holotype; longitudinal
oblique (partly axial) section (previously illustrated by & ,
1968: Pl. 4, fig. 1).- n° 15-3 DAS A 30, thin section PZ 982.
fig. 2: Zergabriella embergeri ( & ,
1968), , 1989: longitudinal oblique (subaxial)
section.- n° 15-3 DAS A 32, thin section OSN2 C3 3917.25m.
fig. 3: Zergabriella embergeri ( & ,
1968), , 1989: tangential section (previously
illustrated by & ,
1968: Pl. 4, fig. 9).- n° 15-3 DAS A 34, thin section OSN2 C3 3917.10m.
Click on the thumbnail to enlarge the image.
Plate 2:
fig. 1:
Zergabriella embergeri ( & ,
1968), , 1989: longitudinal oblique section
(previously illustrated by & ,
1968: Pl. 4, fig. 7).- n° 15-3 DAS A 32, thin section OSN2 C3 3917.25m.
fig. 2: Zergabriella embergeri ( & ,
1968), , 1989: tangential section
(previously illustrated by & ,
1968:
Pl. 4, fig. 10).- n° 15-3 DAS A 33, thin section OSN2 C3 3917.15m.
fig. 3: Zergabriella embergeri ( & ,
1968), , 1989: transverse section.- n°
15-3 DAS A 36, thin section Z-238.
fig. 4: Zergabriella embergeri ( & ,
1968), , 1989: oblique section with the
so-called "cavités sporangiques" (in fact the proximal end of
laterals).- n° 3, thin section Ba 1 ~2372m.
fig. 5: Zergabriella embergeri ( & ,
1968), , 1989: oblique section with the
so-called "cavités sporangiques" (previously illustrated by & ,
1968: Pl. 4, fig. 3).- n° 15-3 DAS A 35, thin section Ba1 2358m (cuttings).
fig. 6: Zergabriella embergeri ( & ,
1968), , 1989: "paratype";
transverse section (previously illustrated by & ,
1968: Pl. 4, fig. 6).- n° 15-3 DAS A 32, thin section OSN2 C3 3917.25m.
fig. 7: Zergabriella embergeri ( & ,
1968), , 1989: tangential section
(previously illustrated by & ,
1968: Pl. 4, fig. 8).- n° 15-3 DAS A 33, thin section OSN2 C3 3917.15m.
Click on the thumbnail to enlarge the image.
Plate 3:
fig. 1:
Zergabriella embergeri ( & ,
1968), , 1989: longitudinal oblique (subaxial)
and oblique sections.- Collection,
"Mont Rose", Marseilles (France).
fig. 2: Zergabriella embergeri ( & ,
1968), , 1989: axial section.- Collection,
"Mont Rose", Marseilles (France).
fig. 3: Zergabriella embergeri ( & ,
1968), , 1989: oblique section with the
so-called "cavités sporangiques" (previously illustrated by & ,
1968: Pl. 4, fig. 4).- n° 4, thin section Ba 1 ~2372m.
fig. 4: Zergabriella embergeri ( & ,
1968), , 1989: oblique section with the
so-called "cavités sporangiques".- Collection,
thin section PZ 982.
Click on the thumbnail to enlarge the image.
Plate 4:
figs. 1, 6 & 11:
Zergabriella embergeri ( & ,
1968), , 1989. 1: subaxial section; 6 & 11:
transverse sections.- Collection, thin
sections from E 31 cell samples, "Mont Rose",
Marseilles (France).
figs. 2-5, 7-10 & 12: Zergabriella embergeri ( & ,
1968), , 1989. 2, 4-5, 7-9: transverse
sections; 3: longitudinal oblique section; 10 & 12: axial sections.- Collection,
thin sections from H 135 cell samples, "Valanginien de
Cascais" (Portugal).
Click on the thumbnail to enlarge the image.
Plate 5:
fig. 1:
Bucurella espichelensis ( & ,
1971), n. gen., nov. comb.: holotype; axial section (previously illustrated by & ,
1971: Pl. 2, fig. 1).- n° 15-3 DAS A 1, thin section H 135-3.
fig. 2: Bucurella espichelensis ( & ,
1971), n. gen., nov. comb.: subtransverse section (previously illustrated by & ,
1971: Pl. 1, fig. 5).- n° 15-3 DAS A 8, thin section H 135-1.
fig. 3: Bucurella espichelensis ( & ,
1971), n. gen., nov. comb.: longitudinal tangential section (previously illustrated by
& ,
1971: Pl. 1, fig. 6).- n° 15-3 DAS A 7, thin section H 135-7.
fig. 4: Bucurella espichelensis ( & ,
1971), n. gen., nov. comb.: subtranverse section.- n° 15-3 DAS A 10, thin section
H 135.
fig. 5: Bucurella espichelensis ( & ,
1971), n. gen., nov. comb.: paratype; axial section (previously illustrated by & ,
1971: Pl. 2, fig. 6).- n° 15-3 DAS A 2, thin section H 135-6.
fig. 6: Bucurella espichelensis ( & ,
1971), n. gen., nov. comb.: subtranverse section (previously illustrated by & ,
1971: Pl. 2, fig. 2).- n° 15-3 DAS A 6, thin section H 135-8.
fig. 7: Bucurella espichelensis ( & ,
1971), n. gen., nov. comb.: tranverse section
(previously illustrated by & ,
1971: Pl. 2, fig. 5).- n° 15-3 DAS A 5, thin section H 135-4.
fig. 8: Bucurella espichelensis ( & ,
1971), n. gen., nov. comb.: subtranverse section.- n° 15-3 DAS A 11, thin section
H 135.
fig. 9: Bucurella espichelensis ( & ,
1971), n. gen., nov. comb.: paratype; tranverse section (previously illustrated by
& ,
1971: Pl. 2, fig. 4).- n° 15-3 DAS A 3, thin section H 135-9.
fig. 10: Bucurella espichelensis ( & ,
1971), n. gen., nov. comb.: subtranverse section.- n° 15-3 DAS A 9, thin section
H 135
fig. 11: Bucurella espichelensis ( & ,
1971), n. gen., nov. comb.: tranverse section
(previously illustrated by & ,
1971: Pl. 2, fig. 3).- n° 15-3 DAS A 4, thin section H 135-5.
| New / | Old Numbers | Species | Original Illustration | Taxonomic Status | Herein | |
| 15-3 DAS A 1 | H 135-3 | Macroporella (Macroporella) espichelensis | & , 1971 | Pl. 2, fig. 1 | holotype | Pl. 5, fig. 1 |
| 15-3 DAS A 2 | H 135-6 | Macroporella (Macroporella) espichelensis | & , 1971 | Pl. 2, fig. 6 | paratype | Pl. 5, fig. 5 |
| 15-3 DAS A 3 | H 135-9 | Macroporella (Macroporella) espichelensis | & , 1971 | Pl. 2, fig. 4 | paratype | Pl. 5, fig. 9 |
| 15-3 DAS A 4 | H 135-5 | Macroporella (Macroporella) espichelensis | & , 1971 | Pl. 2, fig. 3 | Pl. 5, fig. 11 | |
| 15-3 DAS A 5 | H 135-4 | Macroporella (Macroporella) espichelensis | & , 1971 | Pl. 2, fig. 5 | Pl. 5, fig. 7 | |
| 15-3 DAS A 6 | H 135-8 | Macroporella (Macroporella) espichelensis | & , 1971 | Pl. 2, fig. 2 | Pl. 5, fig. 6 | |
| 15-3 DAS A 7 | H 135-7 | Macroporella (Macroporella) espichelensis | & , 1971 | Pl. 1, fig. 6 | Pl. 5, fig. 3 | |
| 15-3 DAS A 8 | H 135-1 | Macroporella (Macroporella) espichelensis | & , 1971 | Pl. 1, fig. 5 | Pl. 5, fig. 2 | |
| 15-3 DAS A 9 | H 135 | Macroporella (Macroporella) espichelensis | & , 1971 | not illustrated | Pl. 5, fig. 10 | |
| 15-3 DAS A 10 | H 135 | Macroporella (Macroporella) espichelensis | & , 1971 | not illustrated | Pl. 5, fig. 4 | |
| 15-3 DAS A 11 | H 135 | Macroporella (Macroporella) espichelensis | & , 1971 | not illustrated | Pl. 5, fig. 8 |
Click on the thumbnail to enlarge the image.
Figure 10: Original thin sections with Bucurella espichelensis, n. gen., n. comb.
| New / | Old Numbers | Species | Original Illustration | Taxonomic Status | Herein | Assemblage | |
| 15-3 DAS A 30 | PZ 982 | Macroporella embergeri | & , 1968 | Pl. 4, fig. 1 | holotype | Pl. 1, fig. 1 | Clypeina |
| 15-3 DAS A 32 | OSN2 C3 3917.25m | Macroporella embergeri | & , 1968 | Pl. 4, fig. 6 | "paratype" | Pl. 2, fig. 6 | Choffatella, Charophyte oogonia |
| Pl. 4, fig. 7 | Pl. 2, fig. 1 | ||||||
| not illustrated | Pl. 1, fig. 2 | ||||||
| 15-3 DAS A 33 | OSN2 C3 3917.15m | Macroporella embergeri | & , 1968 | Pl. 4, fig. 8 | Pl. 2, fig. 7 | Choffatella, Charophyte oogonia | |
| Pl. 4, fig. 10 | Pl. 2, fig. 2 | ||||||
| 15-3 DAS A 34 | OSN2 C3 3917.10m | Macroporella embergeri | & , 1968 | Pl. 4, fig. 9 | Pl. 1, fig. 3 | Choffatella | |
| 15-3 DAS A 35 | Ba1 2358m (cuttings) | Macroporella embergeri | & , 1968 | Pl. 4, fig. 3 | Pl. 2, fig. 5 | ||
| 15-3 DAS A 36 | Z-238 | Macroporella embergeri | & , 1968 | not illustrated | Pl. 2, fig. 3 | Deloffrella, Choffatella | |
| 15-3 DAS A 37 | Z-226 | Macroporella embergeri | & , 1968 | not illustrated | Fig. 1 | Deloffrella, Rajkaella |
| Old Numbers | Species | Original Illustration | Taxonomic Status | |
| Polastron 101 (RAP) C5 1110m | Macroporella embergeri | & , 1968 | Pl. 4, fig. 2 | |
| OSN2 C3 3917.15m | Macroporella embergeri | & , 1968 | Pl. 4, fig. 5 | "paratype" |
Click on the thumbnail to enlarge the image.
Figure 11: Original thin sections with Zergabriella embergeri (15-3 DAS A 31 missing).
| New | / Old Numbers | Species | Original Illustration | Herein | Assemblage | |
| 1 | Bassoués 1 2389 | Macroporella embergeri | & , 1968 | Choffatella, Nautiloculina | ||
| 2 | Ba 1 ~2402m | Macroporella embergeri | & , 1968 | not illustrated | Fig. 3 | Choffatella |
| 3 | Ba 1 ~2372m | Macroporella embergeri | & , 1968 | not illustrated | Pl. 2, fig. 4 | Choffatella, Clypeina |
| 4 | Ba 1 ~2372m | Macroporella embergeri | & , 1968 | Pl. 4, fig. 4 | Pl. 3, fig. 3 | Choffatella |
| 5 | Ba 1 ~2368m | Macroporella embergeri | & , 1968 | Choffatella | ||
| 6 | Ba 1 2358m | Macroporella embergeri | & , 1968 | |||
| 7 | Ba 1 2356m | Macroporella embergeri | & , 1968 | Choffatella | ||
| 8 | Ba 1 ~2346m | Macroporella embergeri | & , 1968 | Charophyte stems and oogonia | ||
| 9 | Ba 1 2408m | Macroporella embergeri | & , 1968 | |||
| 10 | SMe I 1710m | Macroporella embergeri | & , 1968 |
Click on the thumbnail to enlarge the image.
Figure 12: Thin sections from cuttings with Zergabriella embergeri.
| Collection | Species | Herein | Remarks | |
| 5 thin sections, "Mont Rose | Macroporella embergeri | & , 1968 | Fig. 4; Pl. 3, figs. 1-2; Pl. 4, figs. 1, 6, 11 | |
| 9 thin sections, "Valanginien de Cascais" (E 31) | Macroporella embergeri | & , 1968 | Pl. 4, figs. 2-5, 7-10, 12 | |
| 1 thin section PZ - 982 | Macroporella embergeri | & , 1968 | Fig. 2; Pl. 3, fig. 4 | Assemblage: Falsolikanella, Actinoporella |
| 1 cell (H 135) with 4 isolated specimens | Macroporella espichelensis | & , 1971 | Fig. 6 | Originally illustrated as Pl. 1, figs. 1-4 (paratypes) |