Carnets Geol. 7 (A06)  

Click here to close the window!

Contents

[Introduction] [Material and methods] [Systematic micropaleontology]
[Globoreticulina] [Austrotrillina] [Haymanella] [Praerhapydionina] [Rhabdorites]
[Neotaberina] [Neorhipidionina] [Orbitolites] [Penarchaias] [Archaias] [Coskinolina]
[Barattolites] [Dictyoconus] [Medocia] [Rotaliconus] [Conclusions] [Bibliographic references]
[Figures] [Plates] [Page with frames] and ... [Plate cross-comparison]


Revision of the foraminiferal genus Globoreticulina Rahaghi, 1978, and of its associated fauna of larger foraminifera from the late Middle Eocene of Iran

Lukas Hottinger

The Natural History Museum Basel, Augustinergasse 2, Postfach, CH 4001 Basel (Switzerland)
Manuscript online since September 25, 2007

Click here to download the PDF version!

Abstract

The definition of the type species of the genus Globoreticulina Rahaghi, 1978, G. iranica Rahaghi, 1978, is emended and its age discussed in relation to those of 17 associated taxa of larger foraminifera, all from restricted shallow environments. These taxa represent porcelaneous groups of spiroline habit including Rhabdorites malatyaensis, archaiasines (Archaias operculiniformis and A. diyarbakirensis), agglutinated conicals (Coskinolina and Dictyoconus) and some rotaliids (Medocia and others). These taxa were revised where necessary and their biostratigraphic ranges discussed. In addition to the establishment of a new subfamily of the Alveolinidae, the Malatyninae, the following new Linnaean names are introduced in order to conform with the revisions: Austrotrillina eocaenica n. sp., Neotaberina neaniconica n. gen. n. sp., Neorhipidionina spiralis n. gen. n. sp., Penarchaias n. gen. and Rotaliconus persicus n. gen. n. sp. The species Praerhapydionina huberi Henson is transferred to the genus Haymanella Sirel and the genus Praearchaias Sirel is suppressed. The age of the type level of Globoreticulina iranica is interpreted to be SBZ 18 (Late Bartonian) according to the available local data but the possibility that its stratigraphic position is actually level SBZ 17 or SBZ 16 can not be excluded with certainty.

Key words

porcelaneous larger foraminifera; agglutinated-conical larger foraminifera; rotaliids; structural analysis; Bartonian; Iran.

Citation

Hottinger L. (2007).- Revision of the foraminiferal genus Globoreticulina Rahaghi, 1978, and of its associated fauna of larger foraminifera from the late Middle Eocene of Iran.- Carnets de Géologie / Notebooks on Geology, Brest, Article 2007/06 (CG2007_A06)

Résumé

Révision du genre Globoreticulina Rahaghi, 1978 (Foraminiferida) et de la faune associée de grands foraminifères de l'Éocène Moyen tardif de l'Iran.- La diagnose de l'espèce-type du genre Globoreticulina Rahaghi, 1978, G. iranica Rahaghi, 1978, est émendée et l'âge de son niveau type est discuté en tenant compte de 17 taxons de grands foraminifères qui lui sont associés. Tous proviennent d'un milieu peu profond à dépôts carbonatés toujours difficiles à dater. Cette association se compose de foraminifères porcelanés portant soit des alvéoles dans un test miliolin ou alvéoliniforme, soit des septula radiaires dans des tests spiroliniformes dont Rhabdorites malatyaensis. Deux représentants d'archaiasines à piliers, Archaias operculiniformis et A. diyarbakirensis, et plusieurs formes coniques agglutinées font partie de l'association qui est complétée par deux genres de rotaliidés dont Medocia blayensis. Ces formes ont été revues, en détail si nécessaire, et figurées pour justifier leur identification. Il résulte de ces investigations quelques ajustements à la taxinomie systématique des foraminifères : Une nouvelle sous-famille des Alveolinidae, les Malatyninae, est introduite. Les noms nouveaux de genres et d’espèces suivants sont proposés: Austrotrillina eocaenica n. sp., Neotaberina neaniconica n. gen. n. sp., Neorhipidionina spiralis n. gen. n. sp., Penarchaias n. gen. et Rotaliconus persicus n. gen. n. sp. L'espèce Praerhapydionina huberi Henson est transférée dans le genre Haymanella Sirel et il est proposé de supprimer le genre Praearchaias Sirel. L'âge du niveau type de Globoreticulina iranica est fixé, sur la base des données locales, comme SBZ 18 (Bartonien supérieur) sans que l'on puisse exclure avec certitude les zones SBZ 17 ou même 16 si l'on prend en considération la faune associée.

Mots-Clefs

grands foraminifères porcelanés ; grands foraminifères coniques agglutinés ; rotaliidés ; analyse structurale ; Bartonien ; Iran.


Introduction

Currently, the shallow-water foraminiferal associations of Late Cretaceous and Paleogene age in the Near and Middle East have reappeared in the focus of micropaleontological research after a long neglect, a sequel of the Middle East wars involving Iraq and Iran in particular. Thus, knowledge of the larger foraminifera in the Middle East has not progressed much since Henson's monographs of 1948 and 1950, followed up by Sampò, 1969. However, between 1973 and 1983 the National Iranian Oil Co. published a series of monographs by A. Rahaghi on larger foraminifera from Iran. These papers enlarged the census of available taxa to a considerable extent. Here, however, only Rahaghi's works of 1978, 1980, and 1983 are relevant.

In 1998, in the frame of IGCP projects 268 and 393, the biozonation of the Paleogene based on larger foraminifera was revised and standardized by Serra-Kiel et alii (1998). This zonation, based mainly on the biostratigraphic records of the Mediterranean basins, has to be reassessed in the Middle East, where during this period the shallow water environments are associated with a significant increase in diversity. The possible endemists in the so-called Lockhartia Sea, defined by the dominating abundance of the rotaliid genera Lockhartia, Sakesaria and Dictyoconoides, which extended from Lake Van in Turkey to the Himalayans in Asia and to Somalia in Africa, must be integrated into the taxonomic and biostratigraphic standard framework built up in the Mediterranean realm since de la Harpe (1881-1883) and other early workers on nummulites in the second half of the 19th century. However, prior to this revision of biostratigraphic ranges, a certain number of taxa with controversial descriptions and illogical placement within the system must be reconsidered. This is certainly the case of the taxon chosen for revision here: Globoreticulina iranica Rahaghi, 1978. The age of the level in which the type of this taxon occurs is also questionable, because the generic ranges of the associated taxa stated therein are in conflict with current knowledge. Therefore, wherever necessary the associated fauna had also to be revised, discussed and illustrated, to the extent that the material available from Iran permitted. Thus, this discussion involves a revision of the Middle Eastern fauna of larger foraminifera from a single geographic area, in a particular, shallow and restricted facies and at a particular moment in Earth History. It will have to be complemented later by field-determined records of the biostratigraphic ranges of the revised and redescribed taxa.

This paper does not include a discussion of systematics above the generic level. The reader is referred to Loeblich and Tappan (1987) for all questions of higher, suprageneric systematics. This matter can be discussed on a broad basis only when a number of biostratigraphic levels and of biogeographic provinces within the Paleogene have been reassessed.

Material and methods

This paper is based on three samples of cemented carbonate rock kindly provided by A. Rahaghi in the seventies. The samples were used up completely for random thin-sections. Sample 1108 is from the top of the Tang-e-Morghak section (Jahrum Formation, Tudej mountain: Rahaghi, 1978, fig. 16, p. 30), samples Bt 86 and 96 are from the Shiraz area in an equivalent stratigraphic position. Rahaghi's material is supplemented by two thin sections of the Franz Allemann collection labeled M 461 and M 487. They are from the Shiraz area in Iran and of uncertain detailed provenance, but they contain a microfauna exactly like that of Rahaghi’s samples with an important supplement: additional specimens used to understand and to describe the structure of the new genus Penarchaias (Pl. 15 ). The 37 thin-sectiones studied are deposited in the Museum of Natural History of Basel (Switzerland) under the NHMB numbers C 38601-38637.

Larger foraminifera in cemented carbonate rocks are studied in random thin-sections. To the generic level they are identified using their internal, complex structures revealed in the sections of the shell. In order to facilitate the recognition of diagnostic structural patterns a [Page with frames] of the HTML version of this paper permits viewing two plates at a time on the monitor so sections of similar orientation but with discrete generic features can be compared easily. On the species level, the size, number and proportions of structural elements are diagnostic. Here, in order to facilitate the recognition of species, standard enlargements are used to illustrate the taxa.

The structural analysis necessary to identify the diagnostic structural patterns uses a considerable number of highly specialized terms. An illustrated glossary of these terms (Hottinger, 2006) is freely available on the internet and recommended for use when reading the paper.

Systematic micropaleontology

Porcelaneous forms with an alveolar exoskeleton

Porcelaneous foraminifera with a true alveolar exoskeleton are rare. Within the Alveolinidae that exhibit streptospiral nepionts at least in the microspheric generation, the genera bearing alveoles are in minority: Subalveolina, Praebullalveolina, Bullalveolina and Malatyna. Globoreticulina belongs to this group of alveolinids and is so classified below.

One widespread group of true miliolids also has an alveolar exoskeleton: Austrotrillina Parr, 1942. Currently, this genus is said to have a range from Lower Oligocene to Lower Miocene (Adams, 1968; Loeblich and Tappan, 1987).

Therefore, the occurrence of alveole-bearing miliolids in the Middle Eocene of Iran and Oman seems to be an anomaly, a problem discussed below.

New subfamily Malatyninae

Diagnosis: Alveolinidae with a streptospiral nepiont in both generations and a planispiral-involute chamber arrangement in the adult stage of growth. Endoskeleton restricted to ridges on the basal layer, alternating with an interiomarginal row of apertures. There are additional areal apertures, their number in accordance with the space available on the apertural face. Exoskeleton consisting of one or several rows of alveoli in postseptal position. The first postseptal row of alveoles is fed by marginal apertures in the previous septum.

Remarks: Sirel (2004, p. 38) classifies the genus Malatyna in the miliolid family Riveroinidae, but Malatyna can not be a miliolid because it lacks the miliolid pattern of growth with two chambers per whorl and the apertural axis perpendicular to the coiling axis (Hottinger et alii, 1989). Globoreticulina, classified by Rahaghi (1978) in the miliolid subfamily Fabulariinae, has an architecture similar to Malatyna and is consequently transferred to the family Alveolinidae and assigned together with Malatyna to the new subfamily Malatynae.

Genus Globoreticulina Rahaghi, 1978

Type species Globoreticulina iranica Rahaghi, 1978

Emended diagnosis (Fig. 1 ): An alveolinid with an endoskeleton reduced to ridges on the basal layer and an alveolar exoskeleton papering the external chamber wall with numerous rows of alveoles. The internal surface of the alveolar layer is differentiated into a row of protruding beams that are perpendicular to a septum and with many rafters more or less parallel to the septa. An interiomarginal row of apertures alternating regularly with the ridges on the basal layer is complemented with areal apertures that are less regularly positioned on the apertural face. Between exoskeleton and endoskeleton, a broad open preseptal passage occupies almost the whole of the chamber lumen.

Globoreticulina iranica Rahaghi, 1978 emended

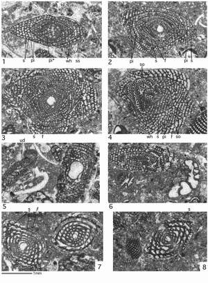
 Fig. 1 ; Pl. 1 , figs. 1-9; Pl. 8 , fig. 2 top left; Pl. 9 , fig. 1 bottom; Pl. 12 , fig. 6 right; Pl. 13 , fig. 9 left

1978 Globoreticulina iranica Rahaghi, p. 42, Pl. 5, figs. 1-13; Pl. 40, fig. 1

Emended diagnosis: Globular, 1-2 mm large, porcelaneous shells with planispiral involute chambers in the adult and a streptospiral chamber arrangement in the first few nepionic whorls. Regularly coiled chambers partially subdivided by exoskeletal and endoskeletal structures. The exoskeleton consists of a single layer of uniform alveoles papering the chamber roof between successive septa from pole to pole. In late adult growth stages, the alveoles may be organized in rows perpendicular to the septal suture. The rows of alveoles are framed by thick beams that are perpendicular to the septal face of the previous chamber. Below the beams the chamber remains undivided for at least half of its height, thus admitting some kind of huge preseptal passage extending from pole to pole.

The endoskeleton consists of a series of low, parallel ridges on the basal layer that covers the chamber bottom from pole to pole between successive septa. The ridges are aligned from one chamber to the next and admit between them a single foramen corresponding to the basal row of apertures in interiomarginal position on the apertural face. In the center of the apertural face, a row of supplementary apertures extends from pole to pole, roughly alternating in position with the regular bottom row. Additional apertures in the upper part of the apertural face provide access to the first row of alveoles below the chamber roof between the innermost edges of the beams.

The spherical proloculus is small, about 0.1 mm in diameter, with thin walls and with a long, low flexostyle. The first chambers, more than two per whorl, are arranged in a streptospiral. Dimorphism was not seen. There are 12-14 chambers per whorl in adult shells that attain a diameter of 1.5 to 2 mm.

Discussion. In the original description, Rahaghi correctly recognized the porcelaneous nature of the wall in Globoreticulina iranica. However, the name given this genus suggests a relation to the agglutinated, Late Cretaceous genus Reticulinella (Bonnefous et alii, 1970, Loftusiidae), and even more so as the alveolar exoskeleton of Globoreticulina was described as a kind of "subepidermal reticulation" that is characteristic of loftusiids in general and of Reticulinella in particular. Moreover, a short time later Rahaghi (1983) described under the same generic designation another species from the Paleocene of Iran, Globoreticulina paleocaenica, which indeed exhibits a subepidermal polygonal network in a finely agglutinated wall. However, Rahaghi (1978) attributed his genus Globoreticulina to the miliolid subfamily Fabulariinae, probably because of the "milioline" nature of the nepiont in a porcelaneous shell. We do not accept Rahaghi’s views for the following reason: the early whorls of G. iranica, type species of the genus Globoreticulina, are streptospiral, with more than two chambers per whorl, not miliolid and lack an apertural axis (compare Hottinger et alii, 1993). Moreover, fabulariids have no alveoles but marginal chamberlets that form a layer of parallel tubular cavities under the free outer surface of the chamber.

The nepionic chambers of Globoreticulina iranica are undivided except for a single row of alveoles in postseptal position. This structure is very similar to the one observed in the genus Malatyna Sirel et Acar, 1993 (type species M. drobneae Sirel et Acar, 1993). Therefore I propose to regroup the two genera into a new subfamily Malatyninae in order to stress their common characteristics: the restriction of the endoskeleton to small folds of the basal layer at the chamber bottom in alternation with a basal row of apertures.

Genus Austrotrillina Parr, 1942

Type species Trillina howchini Schlumberger, 1893

Austrotrillina eocaenica new species

Pl. 1 , fig. 2 bottom; Pl. 2 , figs. 2-9; Pl. 12 , fig. 8 left

1980 Austrotrillina paucialveolata Grimsdale. Rahaghi, p. 31 and 41, Pl. 7, figs. 6-9; Pl. 28, fig. 3.

Holotype: NHMB C 38602. 1: Pl. 2 , fig. 4.

Description. A miliolid of medium size reaching a diameter along the apertural axis of about 1.6 mm. Successive adult chambers rotate 120°-180° around the apertural axis. Late adult chambers are much inflated. The free, external chamber walls are papered on their inner surface with a layer of shallow and coarse alveoles. These are arranged in parallel rows separated by beams (Pl. 1 , fig. 2) that are approximately parallel to the long chamber sutures. Along these chamber sutures, the beams may reach the basal layer at the chamber bottom and form a row of subsutural alcoves with a roughly quadrangular outline. These alcoves are somewhat larger than the rest of the alveoles. The megalospheres are spherical, with a diameter of 0.24-0.32 mm. They have a narrow and low flexostyle (Pl. 2 , fig. 9). The first 6-8 nepionic chambers in the megalospheric generation lack an alveolar exoskeleton. In the microspheric generation, this nepionic stage is correspondingly longer. At the end of the nepionic stage the foramina are broadly triangular in outline and bear a narrow pointed tooth (Pl. 2 , fig. 3). In the adult chambers that have an exoskeleton, the basal layer is thickened considerably.

Discussion: From a biostratigraphic point of view, it is important to emphasize the difference in morphology between the Eocene taxon described above and the Oligocene taxon Austrotrillina paucialveolata Grimsdale, 1952, that has similarly shallow and coarse alveoles appearing late in ontogeny. However, A. paucialveolata, as observed in the Peribetic lower Oligocene (Southern Spain) and dated by its association with Bullalveolina bulloides Reichel, 1937, and Praerhapydionina delicata Henson, 1950, is about half the size of A. eocaenica (megalosphere diameter 0.08-0.1 mm) and the basal layer does not attain the considerable thickness observed in A. eocaenica. The triangular foramen is much narrower in A. paucialveolata and bears a long, stout tooth. However, the exoskeleton in the two species is similar in having beams between rows of alveoles and subsutural alcoves. Austrotrillina sp. figured by Bonnefous and Bismuth (1982, p. 359, Pl. 4, fig. 1) from Lampione Island possibly belongs to A. eocaenica. To date it is the only indication of the presence of Eocene austrotrillinas in the Mediterranean realm.

Spiroliniform and peneropliform porcelaneous foraminifera with radial chamber partitions

In the Middle East, medial to late Eocene shallow-water foraminiferal communities are dominated by porcelaneous, spiroliniform and peneropliform shells with subdivided chambers, classified by Henson (1948) as "Rhapydionina" and "Rhipidionina". This followed the concept of Stache (1913) who used these names in describing his genera from the Late Cretaceous of the Adriatic Platform: the name Rhapydionina was used to designate spiroliniform, crozier-shaped shells with a planispiral-involute nepiont followed by an uniserial-cylindrical adult stage. The name Rhipidionina was given to peneropliform shells with flaring adult chambers producing a flattened fan reaching a hemicircular outline. Stache’s original specimens from the Late Cretaceous of Slovenia represent the same populations and have identical structural patterns (Reichel, 1984). Most probably they are one dimorphic species and represent respectively a megalospheric and a microspheric generation.

Recent peneroplids in the Persian Gulf show an analogous intraspecific variability. Certain specimens show the simultaneous formation of spirolinid and peneroplid adult stages in the same shell (Pl. 3 , figs. 1-24). On the other hand, analysis of communities in the Gulf of Aqaba (Red Sea: Hottinger et alii, 1993) shows the coexistence in the same community of two clearly differentiated taxa, Coscinospira hemprichii which tends to be rather spiroliniform and Peneroplis planatus which tends to be fan-shaped. In many places populations of any one community exhibit both of the generations which consequently are treated as discrete taxa. Whether or not their divergence merits generic or specific rank is another question to be discussed elsewhere in a broader systematic setting.

The Middle-Eastern Eocene "rhapydioninids" and "rhipidioninids" present the same problem. However, all are structurally different from the Late Cretaceous, Slovenian forms of Stache and must therefore have discrete generic names.

Henson (1948) recognized in his Eocene material, mainly from Iraq, three taxa with similar structures: "Rhapydionina" urensis has a spiroliniform habit. "Rhipidionina" macfadyeni with comparatively small and "Rhipidionina" williamsoni with much larger megalospheres exhibit a peneroplid habit. All three taxa have the same basic patterns of chamber subdivision (see below) and a planispiral-involute nepiont. There are no free specimens available and in the random sections of cemented rock I have not seen any microspheric specimens.

In his Ph.D. thesis (1950), Henson transferred his Eocene Rhipidionina species to the genus Meandropsina. The latter however characterizes a Late Cretaceous family of larger foraminifera, possibly of ophthalmidid origin, the microspheric nepiont consisting of a tiny tubular spiral with only a few, widely separated septa, or none at all.

Rahaghi's Eocene material contains four species with a spirolinid habit, in all of which the adult, uniserial cylindrical chambers have radial subdivisions. Two of them have single, stellar-shaped apertures, the other two have multiple apertures. One of the taxa with multiple apertures has simple, radial partitions, the other combines the radial partitions with pillars (Fig. 2 ). There is in addition a single taxon with a rhipidionine habit, Neorhipidionina spiralis n. gen. n. sp. with a planispiral-involute, nepionic and neanic stage flaring out to an evolute, fan-shaped, hemidiscoidal adult. The five taxa are described below in detail.

Genus Haymanella Sirel, 1998

Type species Haymanella paleocaenica Sirel, 1998

Haymanella huberi (Henson, 1950)

Pl. 4 , fig. 15; Pl. 5 , figs. 12-14; Pl. 6 , fig. 3 left; Pl. 15 , fig. 4 right

1950 Praerhapydionina huberi Henson, p. 53, Pl. 2, figs. 5, 7-8.

1978 Praerhapydionina sp. Rahaghi, without comments, Pl. 40, fig. 1 top center.

non 1996 Praerhapydionina huberi Henson. Sirel, p. 170, Pl. 2, figs. 18-22.

non 2003 Praerhapydionina huberi Henson. Sirel, p. 297, Pl. 19, figs. 25-26.

Description. Crozier-shaped, large, porcelaneous shells with surficial coarse agglutinated grains. The grains form an external coat on the surface of all free chamber walls exposed to the ambient environment. The adult chambers have a single aperture in terminal position. The aperture exhibits a stellar outline with a heavy, protruding peristome that remains visible when the aperture is transformed into a foramen during subsequent growth. The septal face is covered by a basal layer. The chamber lumen is partially subdivided by irregularly disposed, radial, short partitions in the subsutural area of the chamber. They form a circle of shallow alcoves at the chamber bottom.

The megalosphere with a diameter of about 0.25 mm is spherical with a short flexostyle followed by two to three spiral nepionic chambers with an interiomarginal intercameral foramen. The following five chambers are small but uncoiled, rectilinear. The position of their foramen remains unclear and therefore we do not know whether they are still in the nepionic stage of growth or have already reached the neanic stage.

Discussion: Henson's original description of this species, classified as a Praerhapydionina, stresses the large size of the shell, twice as large as that of P. delicata, and the irregularity of the radial chamber partitions. He also complains about the poor quality of preservation of the shells. This may be the reason for his not mentioning the agglutination of the shell, which may, however, be recognized in the fifth and sixth free septa of his fig. 8 on Pl. 2. The specimens figured as P. huberi by Sirel (1996 and 2003) are but slightly and insignificantly larger than those of P. delicata and have the same delicate and complete radial partitions of the chambers. In my view, they are to be included in the species P. delicata.

Haymanella is the only genus of the Peneroplidae and of the Soritidae, both planispiral at least in their nepionic stages, that combines a porcelaneous wall with an agglutination of coarse grains. In this respect, Haymanella is similar to agglutinating miliolids such as Agglutinella, Schlumbergerina or Siphonaperta (see Hottinger et alii, 1993). In miliolids, this character has been given either generic or specific rank according to the different groups involved, but the placement has been made without well-founded arguments. In the peneroplids, we keep the existing systematics as stable as possible by accepting agglutination as a generic character. The question of its significance in respect to systematics will have to be discussed further, and on a much larger background.

Haymanella huberi differs from H. paleocaenica in its shorter nepionic spiral stage in the megalospheric generation and in its more complex foramina in the adult. The outline of the foramen is stellar with at least six branches of acute peristomal endings whereas in H. paleocaenica there are only four broad radial or irregular petaloid extensions with rounded ends (Sirel, 1998, Pl. 2, fig. 17; Pl. 3, figs. 1, 5, 8). H. paleocaenica is about half the size of H. huberi.

Haymanella huberi is known not only from the Jahrum formation in Iran but also from equivalent strata in Oman (personal data). It has been reported from the Eocene of Iraq under Henson's name Praerhapydionina huberi.

Genus Praerhapydionina Van Wessem, 1943

Type species Praerhapydionina cubana Van Wessem, 1943

Praerhapydionina delicata Henson, 1950

Pl. 4 , figs. 10-14; Pl. 8 , fig. 7; Pl. 14 , fig. 9 upper left

1950 Praerhapydionina delicata Henson, p. 52-53, Pl. 2, figs. 4, 6, 9.

1963 Praerhapydionina delicata Henson. Hottinger, p. 964, Fig. 1; Pl. 1, fig. 3; Pl. 2, figs. 1-10.

1965 Praerhapydionina delicata Henson. Adams, Pl. 24, fig. l; Pl. 25, fig. o.

1969 Praerhapydionina delicata Henson. Sampò, Pl. 87, fig. 1; Pl. 92, fig. 5.

1996 Praerhapydionina huberi Henson. Sirel, p. 170, Pl. 2, figs. 18-22.

2003 Praerhapydionina huberi Henson. Sirel, p. 297, Pl. 19, figs. 25-26.

2003 Praerhapydionina delicata Henson. Sirel, p. 298, Pl. 10, figs. 23-24.

Discussion: To be frank, a consistent morphological distinction between Praerhapydionina cubana Van Wessem, P. delicata Henson and P. huberi Sirel, not Henson, is not possible in the current state of knowledge. Random sections in cemented rock have been published by various authors from many places, ranging from Cuba to Indonesia. Their descriptions are not distinctive enough to permit the identification of the several species and to place them with respect to the biostratigraphic range of the genus. Today, the generic range must be given as Late Middle Eocene to Lower Oligocene.

The generic characters of Praerhapydionina are as follows: Porcelaneous shells of spirolinid habit with a single aperture in terminal position on a strongly convex face. The aperture has a petaloid to stellar outline with four to six rays. Between the petals of the aperture, peristomes protrude from the apertural or septal face forming a circle of more or less sharpened toothlike features. The adult chambers are subdivided by radial partitions that are aligned from one chamber to the next. They join the tips of the peristomes between the stellar rays of the foramen. Because they are so closely connected to the apertural pattern, they are interpreted as endokeletal elements and therefore are called septula. Additional radial partitions are intercalated between the septula as the periphery of the cylindrical chamber grows during ontogeny. They are shorter than the primary septula and do not reach the aperture.

The nepionic stages of growth are represented by a small megalosphere followed by three to five planispiral chambers, possibly with areal foramina. The subsequent stage is uncoiled, rectilinear, composed of six to eight cylindrical chambers that grow slowly in diameter when measured perpendicularly to the axis of the uncoiled portion of the shell. We do not know if septula have already appeared at this stage of growth.

Genus Rhabdorites Fleury, 1996

Type species Rhapydionina malatyaensis Sirel, 1976

Rhabdorites malatyaensis (Sirel, 1976)

Pl. 4 , figs. 1-9, 15 top; Pl. 7 , fig. 6 bottom left; Pl. 8 , fig. 10 bottom right; Pl. 10 , figs. 4, 8, both bottom; Pl. 15 , fig. 9 bottom right

1950 Spirolina sp. Azzaroli, Pl. 5, fig. 1 center. From Carcar V.

1976 Rhapydionina malatyaensis Sirel, p. 104, Pl. 3, figs. 1-10.

1996 Rhabdorites malatyaensis (Sirel). Fleury, p. 48, Pl. 1, figs. 11-17; Pl. 2, figs. 1-4.

2004 Rhabdorites malatyaensis (Sirel). Sirel, p. 71, Pl. 38, fig. 11; Pl. 65, figs. 1-10 (with synonymy).

2005 Rhapydionina urensis Henson. Khosrotehrani et alii, Pl. 2, fig. 2.

Discussion: There is nothing to add to Fleury's perfect description of the type species of Rhabdorites, R. malatyaensis. The primary septula of the saucer-shaped uniserial chambers are very long and appear to meet in the center of the chamber with low socculi that over the central septal face on the chamber bottom produce a kind of reticular zone as in the agglutinated orbitolinids. But the remainder of the central portion of the chambers remains free of partitions and forms a conspicuous, central preseptal space that feeds the central multiple apertures.

Rhabdorites malatyaensis occurs in association with Malatyna vicensis Sirel et Acar, 1998, in the Bartonian sediments of the Igualada Basin of northern Spain. "Rhapydionina urensis minima" Henson, 1948 (p. 88, Pl. 16, figs. 19-21) is classified here as Rhabdorites minimus (Henson). The architecture of this species is the same as that of R. malatyaensis, with radial septula, multiple apertures and a large, central preseptal space. A globular megalosphere with a diameter of 0.1 mm is followed by 6-10 nepionic spiral chambers. In 1 mm of axial length there are 10-11 chambers in the adult, uncoiled shell. Rhabdorites minimus has been found in sediments of Lower Lutetian age at the foot of the pyramids of Gizeh (Cairo, Egypt) where they are dated by their association with alveolinids and nummulitids. They are considered here as ancestral to R. malatyaensis, an argument in favor of restricting the biostratigraphic range of this younger species to Lutetian times.

New genus Neotaberina

Type species Neotaberina neaniconica n. sp.

Diagnosis: Elongate-conical to subcylindrical shells with porcelaneous walls. The adult chambers are saucer-shaped and arranged in an uncoiled uniserial sequence. The apertural face is strongly convex and covered by numerous areal apertures. The outermost apertures delimiting the cribrate area are arranged in a circle but maintain the radial orientation of their axes as do all other apertures. Although present in many agglutinated conicals (see below) there is no marginal trough and consequently no particular "marginal" apertures.

The saucer-shaped chambers are subdivided by radial partitions interpreted as septula of an endoskeleton because they alternate regularly with radial rows of foramina. The pattern is that of model D in Hottinger, 2006, Fig. 80 ). In the adaxial area of the adult shell, the septula are interrupted to form short, radial rows of pillars that alternate from one sector of the chamber to its neighbor in radial distance from the shell axis. The septula are aligned from one chamber to the next. The apertural axes are also aligned in subsequent chambers on rays of which the orientation is determined by the convexity of the septum. As the circumference of the chambers increases during growth, short, intercalar septula appear below the outer chamber wall. They may be incorporated into the ephebic pattern of the endoskeleton after two or three steps of growth.

Neotaberina neaniconica new species

Pl. 2 , figs. 2 top left, 8 bottom right; Pl. 5 , figs. 1-11; Pl. 8 , figs. 4, 7, both right; Pl. 14 , figs. 12 left, 13 right; Pl. 15 , fig. 8 center

1982 Taberina sp. Bonnefous and Bismuth, p. 363, Pl. 11, figs. 5, 8.

1982 Taberina cf. daviesi Henson. Bonnefous and Bismuth, p. 363, Pl. 13, fig. 2.

Holotype: NHMB C 38606. 1: Pl. 5 , fig. 1.

Diagnosis: Subcylindrical to tapered-conical shells with the architecture of the genus Neotaberina that reach a length of at least 2.5 mm and a diameter of 1.8 mm measured in a direction perpendicular to the shell axis. Per mm of axial length there are 10-12 adult chambers. At a diameter of 1 mm the chambers are subdivided by about 40 primary and intercalar septula. The globular megalosphere with a diameter of 0.16-0.2 mm is followed by a deuteroconch, semilunar in outline, that already has the first septular elements. The spiral nepiont consists of only two or three planispiral chambers followed by an uncoiled neanic stage of about a dozen low chambers that grow rapidly in diameter as measured in a direction perpendicular to the long axis of the uncoiled shell. This neanic stage forms a conus with a strongly convex base that might be confounded with agglutinated conicals and for that reason suggested a name for the new species.

Discussion: The exact architecture and age (given as Paleocene) of the type species of Taberina Keijzer, 1945, from Cuba remains unclear. Henson (1948) used the name Taberina as the generic designation for his species T. bingistani from the Cenomanian of Iran that was taken up by Reichel in his Multispirina monograph (1947). However, in his Ph.D. thesis of 1950, Henson conceived the genus Taberina as a basket for all porcelaneous forms combining radial "subepidermal" partitions with pillars in their endoskeleton. Thus, he included T. daviesi from the Paleocene of the Middle East in the genus Taberina. This is a discoidal species with crosswise-oblique endoskeletal patterns (compare Hottinger, 2006, Fig. 47 G-H ). Henson also included "Orbitolites" malabarica Carter, a Middle Miocene discoidal archaiasinid with a radial endoskeleton and meandrine supplemental chambers. Today, this form is called Pseudotaberina Banner et Highton, 1989. Henson's Cenomanian specimens are distinguishable from the Late Middle Eocene form in Rahaghi's material for they have a very long spiral nepiont consisting of at least 30 spiral chambers following a megalosphere about 0.2 mm in diameter. The architecture of the rectilinear, ephebic part of the shell of Henson’s specimens seems to be identical with that of the Eocene forms.

New genus Neorhipidionina

Type species Rhipidionina williamsoni Henson, 1948

Diagnosis: Porcelaneous, planispiral shells with a cribrate apertural face. Adult chambers uncoiled, flaring into fan shapes, with oval to elongate-oval, compressed crossections. Chambers subdivided by septula that are perpendicular to the free outer chamber wall and end proximally with a slightly thickened rim. These rims alternate regularly with apertures that restrict the field of cribrate apertures on the apertural face. Additional apertures appear in the median plane as one or several rows. The undivided median zone of the chamber is restricted to a median annular passage. There are no pillars.

The difference between the structure of Rhabdorites and that of Neorhipidionina is found in the relationship of the apertures to the septula: at the bottom of the radial chamberlets that alternate with the septula, Neorhipidionina has a single foramen whereas Rhabdorites has between the septula a radial row of foramina that almost reaches the periphery of the discoidal chambers.

Neorhipidionina spiralis new species

Pl. 5 , figs. 5, 8 both left; Pl. 6 , figs. 1-10; Pl. 7 , fig. 5 left; Pl. 8 , fig. 4 top center; Pl. 9 , fig. 3 bottom; Pl. 10 , fig. 5 bottom center

1950 Fragment of peneroplid. Azzaroli, Pl. 5, fig. 1 bottom left. From Carcar V.

1982 Archaias operculiniformis Henson. Bonnefous et Bismuth, p. 363, Pl. 13, fig. 6.

Holotype: NHMB C 38608. 4: Pl. 6 , fig. 4 bottom.

Description: Porcelaneous, planispiral shells with a semiinvolute early stage of growth and flaring to fan-shaped, hemidiscoidal, evolute stages in the adult. The semiannular adult chambers are subdivided by radially directed septula that are aligned from one chamber to the next. On either side of the shell, the opposing septula leave open between them a narrow preseptal space, the median annular passage. The proximal ends of the septula are slightly thickened and have a foramen between them. Thus, two parallel rows of apertures corresponding to the chamberlets below the septum delimit the cribrate center of the apertural face. Between these two rows of apertures, additional rows of apertures appear in the median plane of the shell. They are fed by the median annular passage below the septum. In the earlier stages of growth there is a single row of comparatively large apertures. In later stages there may be two or three rows of apertures with a diameter equal to those of the apertures that form between the proximal septular rims. The only well-centered section at my disposal shows a globular megalosphere with a diameter of 0.14 mm.

Discussion: In spite of the severe limitations of Rahaghi's material (a dozen random sections), I take the risk of erecting a new species characterized by a comparatively small megalosphere and a comparatively long spiral early stage of growth followed by a rapidly-flaring adult stage. Neorhipidionina urensis (Henson, 1948) shows more or less flattened uncoiled stages with an oval outline in cross-section. These follow a neanic, planispiral stage that is involute but retains a depressed umbonal zone. The coils are more inflated and narrower than in N. spiralis. Neorhipidionina williamsoni (Henson, 1948) has a megalosphere that is twice as large. In Rahaghi's material, in the only section classified in this species (Pl. 6 , top of fig. 5), the megalosphere has a diameter of 0.3 mm.

Genus Orbitolites Lamarck, 1801

Type species Orbitolites complanatus Lamarck, 1801

Orbitolites minimus Henson, 1950

Pl. 15 , figs. 6, 9 right

1950 Orbitolites complanata Lamarck var. minima Henson, p. 58, Pl. 3, fig. 1.

Remarks: Henson's variety minima of Orbitolites complanata is given species rank here because of its biostratigraphic relevance. Its consistently small and thin test has only three planes of crosswise-oblique stolons throughout its ontogeny. The compressed embryonal apparatus is highly complex, with multiple flexostyle canals constricting the dumbbell-shaped protoconch. The type is from the Late Middle Eocene of southwestern Iraq but similar, small and thin shells are known starting in the Lower Eocene of the Mediterranean area. They might not be conspecific with Orbitolites minimus because their embryonic apparatus may have a simpler architecture.

Planispiral-involute foraminifera with an archaiasine habit

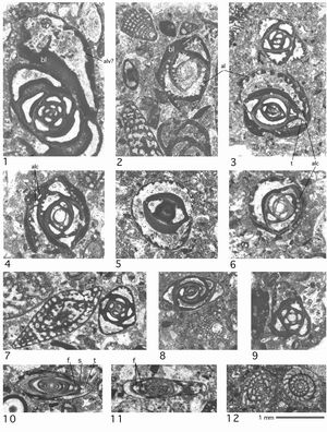
"Archaiasines in the Middle Eocene", this is a fact that is difficult to accept by workers who have studied the shallow faunas of Eocene and Oligocene carbonate sediments in the Mediterranean and Caribbean realms. Therefore, it is of importance to present the Middle Eastern archaiasines of Middle Eocene age with their structural details. Rahaghi's material has yielded three different forms with an archaiasine habit (Fig. 3 ): Planispiral-involute forms without pillars ("Peneroplis" glynnjonesi Henson, 1950), similar forms with few pillars (Archaias operculiniformis Henson, 1950) and with many pillars (Praearchaias diyarbakirensis Sirel, 1996). The descriptions of these forms are emended below.

New genus Penarchaias

Type species Peneroplis glynnjonesi Henson, 1950

Diagnosis: A lenticular porcelaneous shell composed of numerous planispiral-involute chambers arranged in tight coils throughout ontogeny. In the alar prolongations of the chambers is a single, interiomarginal row of apertures alternating with low endoskeletal ridges of the basal layer that are perpendicular to the septal wall. In the short main spiral chambers, these ridges may fuse over the periphery of the previous whorl and produce a single median radial ridge reaching the frontal part of the inclined septum. The rest of the spiral main chamber remains undivided. The apertural face has a symmetrical pair of interiomarginal apertures and an areal median aperture.

Discussion: Henson's (1950) concept of the genus Peneroplis as a basket for all planispiral porcelaneous species with multiple apertures and lacking an endoskeleton is not helpful today. The type species, the recent Nautilus planatus Fichtel et Moll, 1798, has an evolute shell with a single row of apertures. These apertures may be modified and/or subdivided by folded, partially fused peristomes (Hottinger et alii, 1993). The early, tightly coiled stages of growth are semiinvolute, with an umbilical depression. But only the mineralized shell has this involute tendency, the chamber lumina are evolute and thus have no alar prolongations.

The involute counterpart of Peneroplis is Dendritina that has a single areal aperture modified by a heavily folded peristome. A new concept of the genus Peneroplis must be developed on a broader basis that includes the evolutionary history of the genus and the subfamily over the whole of the Tertiary. Even now we can distinguish a third group in addition to Peneroplis and Dendritina that is involute and has alar prolongations with multiple apertures: Penarchaias n. gen. This name is indicative of a supposed relationship with archaiasines that produce, in addition to the basic structure of Penarchaias, a pillared endoskeleton in short spiral chambers.

In the Oligocene there is interesting evidence for similar relationships between Peneroplis thomasi Henson, 1950, with an endoskeleton restricted to a basal layer and Archaias asmaricus Smout et Eames, 1958, with a single row of median pillars (see Sartorio and Venturini, 1988, p. 167). But this relationship is between forms with an involute nepiont and evolute, very long adult chambers tending to become annular. Perhaps it documents a parallel phylogenetic lineage that gave rise to a parallel group of archaiasines. Which of Henson's other species of Peneroplis (P. damesini; P. dusenburyi: op. cit., Pl. 2, figs. 10-12; P. farsensis) will eventually be referred to Penarchaias must remain open until revisions on a broader basis can be carried out.

Penarchaias glynnjonesi (Henson, 1950)

Pl. 1 , fig. 3 lower left; Pl. 6 , figs. 2 bottom left, 10; Pl. 7 , figs. 7-8; Pl. 8 , figs. 6 left, 10 right; Pl. 9 , fig. 6 bottom; Pl. 12 , fig. 2 left; Pl. 13 , fig. 3 right; Pl. 14 , fig. 13 left; Pl. 15 , figs. 1-5, 9 left

1950 Peneroplis glynnjonesi Henson, p. 35, Pl. 9, figs. 8-9.

1963 Peneroplis glynnjonesi Henson. Hottinger, p. 970, Pl. 4, fig. 3-5.

1982 Peneroplis aff. glynnjonesi Henson. Sirel and Acar, p. 828, Pl. 5, figs. 2-3, ?5, 10-11.

1982 Dendritina cf. glynnjonesi (Henson). Bonnefous and Bismuth, Pl. 9, fig. 5.

1996 Peneroplis glynnjonesi ? Henson. Sirel, p. 170, Pl. 3, fig. 18.

2004 Peneroplis aff. glynnjonesi Henson. Sirel, p. 36, Pl. 35, figs. 2-3, ?5, 10.

2006 "Peneroplis" glynnjonesi Henson. Hottinger, Fig. 7 C .

Lenticular shells with an equatorial diameter of 1.4 to 2 mm and a planispiral-involute chamber arrangement throughout ontogeny. Proloculus 0.08-0.14 mm in diameter. Spiral chambers short  (Fig. 3A ), about 20 in the last whorls, with almost straight, radial alar extensions. Thus, there is no vortex. The alae with one row of interiomarginal apertures join in the main spiral chamber to form an apertural face with three main apertures, a pair of lateral ones in interiomarginal position and a median, areal one (Fig. 3C ). The apertures alternate with low ridges at the chamber bottom. By their fusion over the periphery of the previous whorl, a kind of internal median keel is produced that reaches the distal part of the spiral septum in the main chamber lumen. In transverse sections at an appropriate position this median ridge may appear to be a pillar. The first median areal aperture was found in the sixth spiral chamber. A dimorphism of generations was not seen.

Genus Archaias Montfort, 1808

Type species Nautilus angulatus Fichtel et Moll, 1798

Remarks: Smout and Eames (1958) have revised the type species Archaias angulatus (Fichtel et Moll, 1798) living today in the Caribbean. They show equatorial sections of both generations. The section of the microspheric specimen has at the end of its ontogeny three brood chambers that are still spiral and, thus, proving the adult status of the test: there is no annular stage of growth in Archaias. Therefore, the main argument for separating Praearchaias from Archaias is invalid and consequently the generic name Praearchaias Sirel falls in synonymy. As to the detailed structures of the archaiasinid chamber, the reader is referred to the models published in Hottinger, 2001, Fig. 11, and by Bassi et alii, 2007, Fig. 5.

Archaias operculiniformis Henson, 1950

Pl. 2 , figs. 2 bottom, 7 left; Pl. 4 , figs. 2 top, 6 top; Pl. 6 , fig. 4 upper left; Pl. 8 , figs. 1-10; Pl. 10 , figs. 6 bottom, 8 upper left

1950 Archaias operculiniformis Henson, p. 44, Pl. 7, figs. 5-6.

1958 Archaias operculiniformis Henson. Smout and Eames, p. 215, Pl. 39, figs. 6-9.

1969 Archaias operculiniformis Henson. Sampò, Pl. 92, figs. 1-4.

1988 Archaias sp. Sartorio and Venturi, p. 166 top and bottom.

Remarks: Note the tight early coils in the megalospheric generation of this species. The alar prolongations of the spiral chambers have two rows of apertures (Pl. 8 , fig. 5), one at the interiomargin and one in the center of the alar septal face. The apertures of the two rows alternate in radial position but are in line from one chamber to the next. The interiomarginal apertures alternate with low septular ridges at the bottom of the alae (Pl. 8 , fig. 1). These ridges are perpendicular to the septum and in line from one chamber to the next. They fuse in the spiral main chamber to form a median row of radial pillars. This median row alternates with a median row of apertures. The areal apertures of the alae alternate with a row of free-standing pillars in the alar lumen. In the lumen of the main spiral chamber these rows of pillars continue and constitute the margin of the endoskeleton. Below the free lateral walls of the spiral chambers and of their alae, the chamber lumen remains undivided, admitting lateral annular passages that occupy the full height of the chamber. Rarely, faint socculi that link the outer row of pillars with the base of the lateral chamber wall may restrict the annular passages, but only to a very small extent.

The globular proloculus of 0.12-0.18 mm has a flexostyle that attains a length of half the cirumference of the proloculus (Pl. 8 , fig. 9). There are 5-7 tightly coiled nepionic chambers that are undivided and form the first half to three-quarters of the first whorl of the spiral shell. The second whorl already has pillars in the median plane of the spiral main chamber. The first lateral pillars appear in the third whorl (Pl. 8 , fig. 3).

Archaias diyarbakirensis (Sirel, 1996)

Pl. 7 , figs. 1-6; Pl. 13 , fig. 10 right; Pl. 15 , fig. 7

1996 Praearchaias diyarbakirensis Sirel, p. 169, Pl. 1, figs. 1-5, 7, 13-17; non fig. 6  (according to the numbering of the figures of the same plate reproduced in Sirel, 2004, Pl. 48).

2003 Praearchaias diyarbakirensis Sirel. Sirel, p. 296, Pl. 10, figs. 17, 19; non fig. 18.

2004 Praearchaias diyarbakirensis Sirel. Sirel, p. 52, Pl. 48, figs. 1-5, 7, 13-17; non fig. 6.

Description: Porcelaneous, planispiral-involute, thick lenticular shells with a rounded to truncated periphery in adult stages where the spiral chambers flare to form the shell into the shape of a Greek helmet. The shells of the microspheric generation reach about 8 mm in equatorial diameter, the megalospheric shells, 3-4 mm.

At their tips in the vortex the alar prolongations are subdivided by a single row of pillars, near the spiral main chamber by two rows, and in adult stages by three rows of pillars  (Fig. 3E ). They alternate in radial position from one layer to the next but are in line in subsequent chambers. In the median lumen of the main spiral chamber they form an endoskeleton in which the numerous pillars are connected between themselves by low socculi that also join the foot of the lateral chamber wall.

The proloculus is 0.24-0.4 mm wide and may have an irregular shape approximating a sphere. The flexostyle has a length of about a quarter of the circumference of the magalosphere. The available sections do not reveal whether or not there are undivided nepionic chambers.

Conical shells with agglutinated walls

The agglutinating conicals of the Late Middle and the Upper Eocene are poorly known because during this period of time the shallow and extremely specialized facies yielding agglutinated conicals is very rarely preserved. From the Jahrum Formation of Iran, Sampò (1969, Pl. 74) figures a Coskinolina species (without exoskeleton) and a Daviesiconus species (with simple marginal chamber partitions) in his "Nummulites gizehensis zone", that is from Middle to Late Lutetian in age. Lacking clear biostratigraphic arguments for a detailed zonal attribution, Dictyoconus aegyptiensis from the Gebel Oweibid on the Cairo-Suez road (Egypt) must also be of Middle Eocene age. Kaever (1970) describes from Afghanistan three conical forms from the "upper Nummulite limestone with "Nummulites uroniensis" that is dated Lower Lutetian. In Europe, Hottinger and Drobne (1980) describe only Coskinolina roberti (Schlumberger) in the late Middle Eocene sediments of the coastal Atlantic (Charente, southwestern France). On the Adriatic platform, several associated species of Coskinolina occur in the late Lower Eocene and in the early Middle Eocene, while Dictyoconus is absent. These Lower to Middle Eocene occurrences are supplemented by a new genus with a simple exoskeleton in the Trentinara Formation of Southern Italy (Vecchio and Hottinger, 2007), but true Dictyoconus is absent there too.

Coskinolina cf. liburnica Stache, 1875

Pl. 10 , figs. 1-3; Pl. 12 , fig. 5 bottom left

1980 Coskinolina liburnica Stache. Hottinger and Drobne, p. 40, Pl. 7, fig. 1, 15; Pl. 8, figs. 1-10; with synonymy.

Remarks. In Rahaghi's material there is no centered section that would permit verification of the nature of the embryo. Note the lack of exoskeletal structures in trochspiral nepionts that help identify the generic identity of the sections.

Coskinolina douvillei (Davies, 1930)

Pl. 11 , fig. 1

1930 Lituonella douvillei Davies, p. 494, Pl. 1, figs. 3-5; Pl. 2, figs. 1-3, 14

1980 Coskinolina douvillei (Davies). Hottinger and Drobne, p. 43, Pl. 8, fig. 10; Pl. 10, figs. 1-21, with synonymy.

Remarks. The only centered section in Rahaghi's material is identified here as C. douvillei because of its very large megalospheric apparatus which is comparable to those of some specimens from the Adriatic carbonate platform (Hottinger and Drobne, 1980, Pl. 10, fig. 16).

Coskinolina perpera Hottinger et Drobne, 1980

Pl. 9 , figs. 1-8; Pl. 11 , fig. 8 bottom left; Pl. 13 , fig. 8 right

1950 Lituonella cf. douvillei Davies. Azzaroli, p. 115, Pl. 6, fig. 9.

1980 Coskinolina (Coskinolina) perpera Hottinger et Drobne, p. 230, Pl. 8, fig. 10; Pl. 11, figs. 1-16.

Remarks: Broadly conical, finely agglutinated shells from 2 to 2.5 mm in axial height and with an equal basal diameter. The nepiont is trochospiral, composed of 10-12 empty chambers succeeding the megalosphere. The uniserial adult chambers are inflated marginally , with depressed sutures and a clear marginal trough. There are 5 chambers per mm on a cone mantel line. With a shell diameter of 2.4 mm at the base there are 30 marginal apertures alternating in radial position with an equal number of marginal pillars. In subsequent chambers the pillars are in line with and parallel to the nonmarginal foramenal axes.

Coskinolina perpera has the coarsest structure of all the species assigned this genus and can therefore be recognized quite easily.

Barattolites cf. trentinarensis Vecchio et Hottinger, 2007

Pl. 10 , figs. 4-6

2005 Coskinolina cf. liburnica Stache. Khosrotehrani et alii, Pl. 2, fig. 1.

2007 Barattolites trentinarensis Vecchio et Hottinger, Figs. 8-14.

Remarks. There are only three sections in Rahaghi's material that can be referred to the genus Barattolites Vecchio et Hottinger (2007). This genus is defined by its simple exoskeleton with beams more or less in line from one chamber to the next (Pl. 10 , fig. 4). The adult conus is higher than broad. Sutures faintly depressed or flush. There are 7-8 uniserial chambers per mm on a cone mantel line. Cone base slightly convex or flat. No basal section is available that would permit counting the number of exoskeletal marginal partitions, that are visible only with some difficulty in the longitudinal sections of the cone.

The megalospheric apparatus has simple walls and consists of two chambers forming a biconch. A very thin, straight septum separates the protoconch (diameter 0.16-0.2 mm) from the deuteroconch. The following 5-6 chambers constitute a trochospiral nepiont with an exoskeleton beginning at the third chamber.

Conical foraminifera with an exoskeleton consisting of beams in line from one chamber to the next have been discovered by E. Vecchio (2003) in the Trentinara Formation of Southern Italy and are described in detail as Barattolites trentinarensis in Vecchio and Hottinger (2007). However, these Trentinara specimens have a more slender cone than the Iranian specimens. The otherwise similar Daviesiconus balsillei (Davies) is distinguished from the specimens in Rahaghi's material by marginal chamber partitions that alternate regularly in radial position from one chamber to the next. This alternation is so regular and its link with marginal apertures so constant that I interpret the marginal partitions of Daviesiconus as septula comprising a part of the endoskeleton whereas the marginal partitions of Barattolites represent an exoskeleton.

Dictyoconus indicus Davies, 1930

Pl. 10 , figs. 7, 8 right; Pl. 11 , fig. 2-7, 8 right

1930 Dictyoconus indicus Davies, p. 497, Pl. 1, figs. 10-13; Pl. 2, figs. 7-11, 13, 16.

? 1950 Dictyoconus daviesi Silvestri. Azzaroli, p. 117, Pl. 1, fig. 7; Pl. 7, figs. 2, 5; Pl. 8, figs. 9-10.

1970 Dictyoconus indicus Davies. Kaever, p. 25, Pl. 2, figs. 10-12; Pl. 3, figs. 1-2.

2005 Dictyoconus sp. Khosrotehrani et alii, Pl. 3, fig. 4.

Remarks: The species of the genus Dictyoconus are difficult to identify in random sections but D. indicus has an embryonic apparatus that is larger and more complex than those of other congeneric species. The second chamber with a clearly mineralized wall (deuteroconch?) has an exoskeleton. However, the available sections from Iran are insufficient to reconstruct the embryonic apparatus in detail. Dictyoconus daviesi Silvestri from Somalia, studied by Azzaroli (1950), has not furnished any information about the nature of its embryo. Consequently, its synonymy with D. indicus remains questionable.

In the adult chambers, the exoskeleton forms deep pigeonholes in two alternating rows on the chamber margin. The sutures of the chambers are flush and obscured by the marginal polygons of the pigeonholes. The endoskeleton consists of radial pillars. Many of these have semilunar socculi.

The microspheric generation produces low cones with a horizontal to axial diameter ratio of about 3. Possibly, the last few chambers do not cover the whole basal surface of the cone but form marginal annuli like those in the large discoidal orbitolinids of the Middle Cretaceous.

Rotaliids

Genus Medocia Parvati, 1971

Type species: Medocia blayensis Parvati, 1971

Medocia blayensis Parvati, 1971

Pl. 9 , figs. 2, 5, both top and 8 left; Pl. 10 , fig. 3 bottom; Pl. 12 , figs. 1-9; Pl. 13 , figs. 1-10

1971 Medocia blayensis Parvati, p. 17, Fig. 4; Pl. 2, figs. 2-4; Pl. 3, figs. 1-5; Pl. 4, figs. 2-6; Pl. 5, fig. 5.

1978 Medocia blayensis Parvati. Le Calvez and Blondeau, p. 28, Pl. 1, figs. 1-2.

Remarks: Although Parvati (1971) described the type species of her genus Medocia in much detail and with great care, the description of this taxon must be reformulated using current morphological terms in order to facilitate its comparison with the rotaliids defined in recent years. Medocia blayensis is a rotaliid with a lenticular to subconical shell that has a concave, smooth dorsal side and a ventral side that ranges between flat and convex. Microspheric forms are compressed-lenticular (ratio of equatorial to axial diameter about 2) and have a keeled periphery in adult stages. The megalospheric generation is more tightly coiled and has a lower ratio of equatorial to axial diameter: 1.4-1.6. The periphery is either angular and faintly keeled or rounded and unkeeled. The spiral chambers are dorsally evolute and ventrally involute, interconnected by an interiomarginal foramen that forms a wide arch over most of the ventral interiomargin. The chambers are extended in an umbilical direction with tapered foliar walls that fuse with the umbilical fill formed by all previous folia. The foliar lumina are connected to each other by an anterior foliar aperture and thus produce a spiral umbilical space, the spiral canal, that is separated from the main chamber lumina by an umbilical plate. At the junction of the spiral canal with the intraseptal interlocular space, a posterior, retral foliar aperture provides access to the exterior of the shell. Some of these apertures are transformed during subsequent growth into funnels (vertical canals) with a conspicuously large bore (Pl. 12 , fig. 1; Pl. 13 , fig. 7). They persist from the first to the last whorl. Additional funnels are generated over the ventral radial septal sutures and provide direct communication between the ambient environment and the interlocular space that remains open in the ventral part of the septum. There is no dorsal access to the interlocular space.

New genus Rotaliconus

Type species: Rotaliconus persicus n. sp.

Diagnosis: Trochospiral shells with lamellar, coarsely perforate walls. Dorsal side evolute and strongly convex, ornamented with perforate pustules. Ventral side involute and flattened, with a smooth or slightly pustulose, weakly perforate umbilical face. The foramen, the main communication between the spiral chambers, is positioned below the periphery of the previous whorl at the interiomargin of the apertural face. The umbilicus is covered by tapered folia fused with each other at their tips. Umbilical plates are straight and perpendicular with respect to the radial axis of the chamber. Notch and umbilical piles are absent. Foliar chamberlet lumina are connected by passages, transformed foliar apertures, that form a spiral canal. The spiral canal opens in a ventral direction to form a single row of funnels opening to the ambient environment along the ventral sutures of the main spiral chambers and the folia. The intraseptal interlocular space opens within the spiral and septal sutures on the dorsal side also and thus provides the dorsal side of the shell with canal orifices between the pustules of the ornament.

Rotaliconus differs from all other calcarinids in its single interiomarginal aperture and the absence of an enveloping canal system. It differs from rotaliids with umbilici covered by funnel orifices, such as Kathina and related forms, in having dorsal orifices of the canal system and in the absence of continuity in the funnels of successive whorls.

Rotaliconus persicus new species

Pl. 8 , fig. 7 bottom center; Pl. 11 , fig. 2 top left; Pl. 12 , fig. 7 left; Pl. 14 , figs. 1-13

1980 Lockhartia sp. Rahaghi, p. 42; Pl. 8, fig. 13, ?14, ?15.

Holotype: NHMB C 38612. 4: Pl. 14 , Fig. 1.

Description: Lamellar shells with thick, coarsely perforate walls that provide an approximately conical shape to the test (horizontal to axial diameter ratio 1.15 to 1.25 in shells with five to six whorls). The chambers are arranged in a trochospiral, evolute on the dorsal side, involute on the ventral side of the shell. The largest diameter of the base of the cone in the final whorl measured 1.6 mm. The dorsal surface of the shell is strongly convex and ornate, covered by numerous perforate pustules. The ventral side is flat or slightly convex, covered by foliar walls and imperforate pustules that obscure the umbilicus. There is no axial umbilical plug or pile.

The chamber is subdivided into a main spiral chamber and a foliar chamberlet by a simple straight wall, the umbilical plate, perpendicular to the radial axis of the chamber. Neighboring main spiral chambers are connected by a single primary foramen, a slit in interiomarginal position below the angular periphery of the previous whorl. The narrow folia are bent backwards and extend their tapered tips to the center of the umbilicus or even beyond that point. They fuse partially with their neighbors in the same whorl along their radial sutures that remain open to admit a single row of ventral orifices. These give access to the intraseptal interocular space. The foliar chamberlets communicate with each other and with the intraseptal interlocular space by a large foliar aperture, but I have not seen the notch that is a characteristic of the Rotaliinae. The ventral orifices of the interlocular space may extend in a ventral direction during subsequent growth, but there is no regular structure of parallel funnels like those of Kathina for instance. Too, the ventral pustules do not form parallel piles so the aspect of the umbilical structure in sections remains confused.

The intraseptal interlocular space extends into the whorl suture at the dorsal side of the shell. A canal system is produced that opens on the dorsal side of the shell with orifices distributed along the dorsal sutures of successive whorls and chambers. In sections we see these orifices as deep incisions in the walls between the perforate pustules of the dorsal ornament.

The proloculus is comparatively small, with a diameter of 0.06-0.08 mm. A dimorphism of generations has not been seen.

Conclusions

Conclusion: the age of Globoreticulina iranica Rahaghi
 (Fig. 4 )

Rahaghi (1978) indicates the type locality and type level for Globoreticulina iranica to correspond to the sample Bt 954 from the Jahrum Formation of the Shiraz area. G. iranica is said to be associated there with Lituonella sp., Dictyoconus sp., Rhapydionina urensis and Orbitolites complanata. Without further comment, the sample is ascribed a Middle Eocene age. From his tables p. 37 and 38 we learn that the associations of imperforates which contain Globoreticulina iranica are grouped together with the lamellar-perforate forms Nummulites perforatus, N. striatus, and Assilina exponens into a Middle Eocene category as opposed to the association Nummulites fabianii, N. garnieri, N. aff. incrassatus, Spiroclypeus granulosus and Silvestriella tetraedra of the Upper Eocene. Usually, lamellar larger foraminifera are not found in association with porcelaneous or agglutinated larger forms. According to Rahaghi's Fig. 16 in his 1978 monograph, the nummulite facies with the Assilina exponens group and other nummulitids appears first, the facies with porcelaneous and agglutinating conical forms comes later. Apparently we are in a shallowing upward phase at the regressive end of the Middle Eocene cycle. This rather scant biostratigraphic analysis shows that the type level of Globoreticulina iranica must be older than the range of Nummulites fabianii, that is prior to the Shallow Benthic Zone (SBZ: Serra-Kiel et alii, 1998) 19 and maybe younger than the range of the Assilina exponens group, that is younger than SBZ 17, if the identification of A. exponens is correct and if the succession of facies spans a significant lapse of time.

Recently, Khosrotehrani et alii (2005) published an interpretation of the age of the Jahrum Formation in the Shiraz area based on range charts of larger foraminifera, an interpretation that is difficult to reconcile with Rahaghi's data from 1978. The occurrence of "Rhapydionina urensis" (= Rhabdorites malatyaensis) seems to mark the level of Globoreticulina iranica. The range of Rhabdorites malatyaensis is shown to overlap that of "Nummulites fabianii" figured Pl. 3, fig. 1 (op. cit.). The identification of this species, or at least of this specimen, seems questionable to me. Its association with Orbitolites cf. minimus Henson supports doubts as to the position of the boundary between Middle and Upper Eocene in the sections described. In my view it should be moved upward. Incidentally, the Paleocene age of the base of the Jahrum in the Dodaj section seems questionable too. It is based on the presence of "Fallotella alavensis" (= Daviesiconus balsillei Davies), illustrated Pl. 1, fig. 1 (op. cit.), and on "Miscellanea" sp. (op. cit., Pl. 1, fig. 2) that is a new species of Redmondina found in the Cuisian-Lutetian of Monte Gargano, southeastern Italy. "Lituonella roberti" (= Pseudochrysalidina cf. variospira Vecchio et Hottinger, 2007) on Pl. 2, fig. 3 (op. cit.) and Alveolina stercus-muris Mayer-Eymar on Pl. 1, fig. 5 (op. cit.) have an early Middle Eocene aspect that in both sections seems to be characteristic of the lower deposits of the Jahrum formation.

Thus, the age of the Globoreticulina horizon is SBZ 18 or earlier. A question arises as to whether the associates of Globoreticulina identified and described in this paper contradict this interpretation.

Austrotrillina had been revised by Adams (1968). His paper, still standard today, presents Austrotrillina paucialveolata Grimsdale as the most primitive species of the group with a range starting in the Lower Oligocene. The new species Austrotrillina eocaenica found in Rahaghi's material is "primitive" but cannot be interpreted as a direct ancestor of A. paucialveolata because it is larger and has a more differentiated exoskeleton. The questionable phylogenetic relationship makes any argument regarding an assignment of age moot. A. eocaenica occurs also in Oman in association with most of the conical agglutinated species described here.

The range of Praerhapydionina delicata Henson, of spiroline habit but with a single, stellar aperture, is given in the published literature as Lower Oligocene. To date, no praerhapydioninas have been discovered in the Eocene of the Mediterranean realm. We must keep in mind, however, that in this area Upper Eocene carbonate sediments formed in restricted shallow environments are rare or absent.

Haymanella huberi (Henson) occurs in the Priabonian of Oman (personal observation). It has a Paleocene ancestor, H. paleocaenica Sirel. Therefore, in appropriate facies intermediate forms may well be found throughout the Eocene succession.

A similar form with spiroline habit but with multiple apertures, Rhabdorites malatyaensis, has a wide geographic distribution over all of the Western Neotethys. Rhabdorites malatyaensis is therefore of particular biostratigraphic interest. In the Igualada basin (Northeastern Spain), R. malatyaensis occurs frequently in the regressive final phase of the Bartonian sequence together with the last large Orbitolites spp. and Malatyna vicensis Sirel (Serra-Kiel et alii, 1997; Sirel and Acar, 1998; Romero et alii, 1999).

Sirel (2003) has produced a first meritorious attempt to establish a biozonation of the transitional period between Late Middle Eocene and Lower Oligocene times based on lithostratigraphic sequences in Turkey. There, according to Sirel (2003), Rhabdorites malatyaensis is associated in the Arabil section with Nummulites fabianii, and in the Devely section with N. biedai. Consequently, the range of Rhabdorites malatyaensis extends at least throughout the Bartonian and the Priabonian (Papazzoni and Sirotti, 1995). A direct ancestor exists at a biostratigraphically earlier level in Gizeh, Egypt (personal observation). This phylogenetic predecessor, Rhabdorites minimus (Henson), is found in strata laid down in a similar restricted shallow-water environment, but is of Lower Lutetian age.

The geographic distribution of Neotaberina neaniconica n. gen. n. sp. extends westward from the Middle East to Lampione in the Mediterranean, where its occurrence is correlated lithologically with beds yielding Nummulites fabianii (Bonnefous et Bismuth, 1982). Neorhipidionina spiralis has the same geographic distribution. It is found in the same levels at Lampione and thus is a contemporary.

A new porcelaneous, planispiral-involute genus, "? Hottingerina lukasi Drobne" (Bonnefous and Bismuth, 1982, Pl. 9, figs. 7-8), occurs in the same beds at Lampione and in Somalia (Azzaroli, 1950, Pl. 6, fig. 5 top right and bottom left), where it is associated with Neorhipidionina urensis (op. cit., Pl. 6, fig. 3) at Uadi Gurura (locality 7) attributed to the unit Carcar I (see below).

To date, Orbitolites minimus Henson has not been found in Priabonian sediments. The upper limit of its biostratigraphic range is probably the Bartonian-Priabonian boundary as it is for the larger Orbitolites species called complanatus in the literature. A revision of the species of this genus will be necessary if they are to be used as index fossils in zonal biostratigraphy.

The biostratigraphic ranges of archaiasines in the literature are contradictory. In Rahaghi's material, Archaias diyarbakirensis is associated with an Eocene assemblage, but in Turkey it is found with Austrotrillina striata (Sirel, 2004, Pl. 48, fig. 16), an index fossil for the Oligocene. My own experience confirms the validity of this attribution. Consequently, the range for Archaias diyarbakirensis must bridge the Eocene-Oligocene boundary. Penarchaias glynnjonesi has the same range, but that the range of Archaias operculiniformis extends into the Lower Oligocene remains uncertain.

The only agglutinated-conical form found in strata of Oligocene age so far is Dictyoconus melinauensis from Sarawak, Borneo (Adams, 1968). In Western Europe, the latest conical form, Coskinolina (ex Lituonella) roberti was found in the Late Middle Eocene of the Aquitaine (southwestern France). In the Tethys all other occurrences of Tertiary agglutinated conicals are restricted to deposits of Paleocene to early Middle Eocene age, with the exception of the dictyoconids of Somalia that reach the Carcar V level, dated by Nummulites fabianii as Priabonian (Azzaroli, 1950).

On the island of Lampione, Coskinolina roberti is associated with Coskinolina cf. liburnica, Coskinolina perpera and Chrysalidina alva (Bonnefous and Bismuth, 1982). A similar assemblage was described from the Adriatic carbonate platform where it is dated as late Lower Eocene according to the associated alveolinids (Hottinger and Drobne, 1980). In Somalia, a similar assemblage from Uadi Gurura Double ("locality 7") was classified as Carcar I (early Lutetian) by Azzaroli (1950), a correlation I question because of the faunal elements common with Lampione. At this level, however, Neorhipidionina urensis (Henson) is present in Somalia (Azzaroli, 1950, Pl. 6, fig. 5 from "locality 7") and, under the name Rhapydionina sp. in a well drilled in Basilicata, Southern Italy (Sartorio and Venturini, 1988, p. 165). The absence of Neorhipidionina urensis from the appropriate shallow-water facies at the top of the Jahrum in Iran and from the Priabonian sediments of Oman suggests an older, Middle to Upper Lutetian age for the Somalian "locality 7" level and a younger age for the Iranian material.

Azzaroli's Dictyoconus daviesi Silvestri has a simplified exoskeleton in common with Dictyoconus indicus Davies as conceived in this paper. However, data about the embryo of the potentially synonymized D. daviesi are not available. If they are one species, its range would extend over Carcar II-IV, that is over the entire Middle Eocene.

Two oblique sections of "Pseudolituonella reicheli" Marie in Tedeschi et Papetti (1964) have been discovered in Rahaghi's material. They are inadequate for a taxonomic revision but sufficient to identify the species. The species name originally was given to Cenomanian specimens. Under the name Cribrogenerina? sp. Azzaroli (1950, Pl. 11, fig. 10) illustrated specimens from Carcar II and III of Somalia that belong to the same species as Tedeschi and Papetti's specimens from Libya. The species occurs also in Oman and apparently is a characteristic member of the Late Middle Eocene association of larger shallow-water foraminifera. Similar forms have never been found in Late Cretaceous or in Paleocene-Lower Eocene shallow-water deposits. Therefore the Cenomanian and the Paleogene pseudolituonellas probably are unrelated homoeomorphs.

Among the rotaliids in the Persian material, only Medocia blayensis is known from other well-dated deposits. This species occurs on the Atlantic coast of Europe in sediments of Late Lutetian age, together with Alveolina elongata, Alveolina fusiformis and Orbitolites cotentinensis (Le Calvez and Blondeau, 1978), that is in SBZ 16. In the Trentinara Formation (Southern Italy) E. Vecchio (2003) has found it in even earlier deposits assigned a late Lower Eocene age.

Thus, at the type level of Globoreticulina iranica the ranges of associated Middle Eocene species, in particular those of conical-agglutinated forms, overlap the ranges of Late Eocene-Oligocene archaiasine species. This overlap does not invalidate the local dating of G. iranica's type level as SBZ 18 but does not exclude the possibility that it is actually at level SBZ 17 or 16. Possibly, additional studies in the shallow carbonate deposits of similar age in Dhofar (Oman) will resolve the problem.

Acknowledgments

The very useful suggestions and corrections of the reviewers of the present paper, B.W. Jones (BP) and E. Vecchio (Naples University) are gratefully acknowledged. N. Sander polished the English. Sincere thanks to all.

Bibliographic references

Adams C.G. (1965).- The foraminifera and stratigraphy of the Melinau Limestone, Sarawak, and its importance in Tertiary correlation.- Geological Society of London, Quarterly Journal, vol. 121, p. 283-338.

Adams C.G. (1968).- A revision of the foraminiferal genus Austrotrillina Parr.- British Museum (Natural History), Bulletin, (Geology), vol. 16, n° 2, p. 73- 97, 6 pls.

Azzaroli A. (1950).- I macroforaminiferi della serie del Carcàr in Somalia.- Palaeontographia Italica, (nova serie), Pisa, vol. 17, p. 99-131, 12 pls.

Banner F.T. & Highton J. (1989).- On Pseudotaberina malabarica (Carter) (Foraminiferida).- Journal of Micropaleontology, New York, vol. 8, n° 1, p. 113-129.

Bassi D., Hottinger L. & Nebelsick J. H. (2007).- Larger Foraminifera from the Upper Oligocene of the Venetian area, North-East Italy.- Paleontology, London, vol. 50, part 4, p. 845-868.

Bonnefous J. & Bismuth H. (1982).- Les faciès carbonatés de plate-forme de l'Éocène moyen et supérieur dans l'offshore Tunisien nord-oriental et en mer pélagienne : implications paléogéographiques et analyse micropaléontologique.- Bulletin des Centres de Recherche Exploration Production Elf-Aquitaine, Pau, vol. 6, n° 2, p. 337-403.

Bonnefous J., Hamaoui M. & Tixier M. (1970).- Reticulinella, nom nouveau pour Reticulina Cuvillier, Bonnefous, Hamaoui et Tixier, 1969.- Bulletin du Centre de Recherches Pau-SNPA, vol. 4, n° 1, p. 39.

Davies L. M. (1930).- The genus Dictyoconus and its allies: review of the group, together with a description of three new species from the Lower Eocene beds of northern Baluchistan.- Transactions of the Royal Society of Edinburgh, vol. 56, part 2 (n° 20), p. 485-505, 2 pls.

Fichtel L. von & Moll J.P.C. von (1798).- Testacea microscopica, aliaque minuta ex generibus Argonauta et Nautilus, ad naturam picta et descripta.- Camesina, Vienna.

Fleury J.-J. (1996).- Convergence morphologique Alveolinacea-Soritacea : Les genres Rhapydionina Stache et Rhabdorites n. gen.- Revue de Micropaléontologie, Paris, vol. 39, n° 1, p. 41-51.

Grimsdale T.F. (1952).- Cretaceous and Tertiary foraminifera from the Middle East.- British Museum (Natural History), Bulletin, (Geology), vol. 1, n° 8, p. 224-247, 6 pls.

Harpe P. de la (1881-1883).- Étude des Nummulites de la Suisse et révision des espèces éocènes des genres Nummulites et Assilina.- Mémoires de la Société Paléontologique Suisse, Basel, première partie: vol. 7, p. 4-104, deuxième partie: vol. 8, p. 105-140, troisième partie: vol. 10, p. 140-180.

Henson F.R.S. (1948).- Larger imperforate foraminifera of south-western Asia. Families Lituolidae, Orbitolinidae and Meandropsinidae.- British Museum (Natural History), London, 127 p., 18 pls.

Henson F.R.S. (1950).- Middle Eastern Tertiary Peneroplidae (Foraminifera) with remarks on the phylogeny and taxonomy of the Family.- Ph.D. thesis, Leiden University, West Yorkshire Printing Co, Wakefield, 70 p., 10 pls.

Hottinger L. (1963).- Quelques Foraminifères porcelanés oligocènes dans la série sédimentaire prébétique de Moratalla (Espagne méridionale).- Eclogae geologicae Helvetiae, Basel, vol. 56, n° 2, p. 963-972.

Hottinger L. (2001).- Archaiasinids and related porcelaneous larger foraminifera from the late Miocene of the Dominican Republic.- Journal of Paleontology, Tulsa, vol. 75, n° 3, p. 475-512.

Hottinger L. (2006).- Illustrated glossary of terms used in foraminiferal research.- Carnets de Géologie / Notebooks on Geology, Brest, Memoir 2006/02 (CG2006_M02), 126 p.

Hottinger L., Caus E. & Drobne K. (1989).- Late Cretaceous larger, complex miliolids (foraminifera) endemic in the Pyrenean faunal province.- Facies, Erlangen, vol. 21, p. 99-134.

Hottinger L. & Drobne K. (1980).- Early Tertiary conical imperforate foraminifera.- Razprave, Dissertationes (Slovenska Akademia Znanosti in Umetnostni), Lljubljana, (classis IV), vol. 22, n° 3, 90 p., 22 pls.

Hottinger L., Halicz E. & Reiss Z. (1993).- Recent Foraminiferida from the Gulf of Aqaba, Red Sea.- Dela Slovenska Academia Znanosti in Umetnostni, Lljubljana, (classis IV), vol. 33, 179 p., 230 pls.

Kaever M. (1970).- Die alttertiären Grossforaminiferen Südost-Afghanistans unter besonderer Berücksichtigung der Nummulitiden-Morphologie, Taxonomie und Biostratigraphie.- Münsterische Forschungen zur Geologie und Paläontologie, Münster, Heft 16/17, 400 p.

Keijzer F. (1945).- Outline of the Geology of the Eastern Part of the Province of Oriente, Cuba.- Ph.D. thesis, Utrecht University; Geographische en Geologische Mededelingen, Utrecht, vol. 2, n° 6, 239 p.

Khosrotehrani K., Afgah M. & Ahmadi V. (2005).- Microbiostratigraphy and microfacies study of Jahrum Formation in north and southeast of Shiraz.- Journal Applied Geology, Zahedan, vol. 1, n° 1, p. 1-12.

Lamarck J.B. (1801).- Système des animaux sans vertèbres.- "chez l'Auteur", Paris, 432 p.

Le Calvez Y. & Blondeau A. (1978).- La microfaune "biarritzienne" du Lutétien du Cotentin.- Bulletin d'Information des Géologues du Bassin de Paris, vol. 15, n° 2, p. 21-31.

Loeblich A.R. & Tappan H. (1987).- Foraminiferal genera and their classification.- Van Nostrand Reinhold New York, vol. 1, 970 p.; vol. 2, 212 p., 847 pls.

Montfort P.D. de (1808).- Conchyliologie systématique, et classification méthodique des coquilles. Volume 1, Coquilles univalves, cloisonnées.- F. Schoell, Paris, 410 p.

Papazzoni A. & Sirotti A. (1995).- Nummulite biostratigraphy at the Middle/Upper Eocene boundary in the Northern Mediterranean area.- Rivista Italiana di Paleontologia e Stratigrafia, Milano, vol. 101, n° 1, p. 63-80.

Parr W.J. (1942).- New genera of foraminifera from the Tertiary of Victoria.- Mining and Geological Journal, Melbourne, vol. 2, p. 361-363.

Parvati S. (1971).- A study of some rotaliid Foraminifera.- Proceedings Koninklije Nederlandse Akademie van Wetenschappen en Amsterdam, (Ser. B), vol. 74, n° 1, p. 1-26.

Rahaghi A. (1978).- Paleogene biostratigraphy of some parts of Iran.- National Iranian Oil Company, Geological Laboratories, Teheran, publication n° 7, 82 p., 41 pls.

Rahaghi A. (1980).- Tertiary faunal assemblage of Qum-Kasan, Sabzewar and Jahrum areas.- National Iranian Oil Company, Geological Laboratories, Teheran, publication n° 8, 64 p., 30 pls.

Rahaghi A. (1983).- Stratigraphy and faunal assemblage of Paleocene-Lower Eocene in Iran.- National Iranian Oil Company, Geological Laboratories, Teheran, publication n° 10, 33 p., 49 pls.

Reichel M. (1937).- Étude sur les Alvéolines.- Mémoires de la Société Paléontologique Suisse, Basel, vol. 59, p. 95-146.

Reichel M. (1947).- Multispirina iranensis n. gen. n. sp. Foraminifère nouveau du Crétacé supérieur de l'Iran.- Mémoires Suisses de Paléontologie, Basel, vol. 65, p. 1-13.

Reichel M. (1984).- Le crible apertural de Rhapydionina liburnica Stache from the Vremski-Britof Maastrichtian, Yugoslavia.- Benthos'83. Second International Symposium on Benthic Foraminifera, Pau, p. 525-532, 3 pls.

Romero J., Hottinger L. & Caus E. (1999).- Early appearance of larger foraminifera supposedly characteristic for Late Eocene in the Igualada Basin, NE Spain.- Revista Española de Paleontologia, Madrid, vol. 14, p. 79-92, 1 pl.

Sampò M. (1969).- Microfacies and Microfossils of the Zagros Area, Southwestern Iran (from Pre-Permian to Miocene).- International Sedimentary Petrographical Series, vol. 12. Brill, Leiden, 102 p., 105 pls.

Sartorio D. & Venturini S. (1988).- Southern Tethys biofacies.- Agip Mineraria, San Donato Milanese, 235 p.

Schlumberger C. (1893).- Note sur les genres Trillina et Linderina.- Bulletin de la Société Géologique de France, Paris, (série 3), vol. 21, p. 118-123.

Serra-Kiel J., Busquets A., Travé A., Mat E., Saula E., Tosquella J,. Samsò I. M., Ferrandez A., Barnolos A., Alvarez G., Franques J. & Romero J. (1997).- Marine and transitional Middle-Upper Eocene sediments of the southeastern Pyrenean foreland basin.- Field trip guide IGCP 393: Neritic events at the Middle-Upper Eocene boundary. Second meeting in Vic (Spain), University of Barcelona, Spain, 52 p.

Serra-Kiel J., Hottinger L., Caus E., Drobne K., Ferrandez C., Jauhri A.K., Less G., Pavlovec R., Pignatti J., Samso J. M., Schaub H., Sirel E., Strougo A., Tambareau Y., Tosequella J. & Zakrevskaya E. (1998).- Larger foraminiferal biostratigraphy of the Tethyan Paleocene and Eocene.- Bulletin de la Société géologique de France, Paris, vol. 169, n° 2, p. 281-299.

Sirel E. (1976).- Description of the species Rhapydionina liburnica Stache, Rhapydionina malatyaensis n. sp. and new observations on the genus Rhapydionina Stache.- Bulletin of the Mineral Research and Exploration Institute of Turkey, Ankara, vol. 86, p. 101-106.

Sirel E. (1996).- Praearchaias, a new soritid genus (Foraminiferida) and its Oligocene shallow-water foraminiferal assemblage from the Diyarbakir region (SE Turkey).- Geologica Romana, Roma, vol. 32, p. 167-181.

Sirel E. (1998).- Foraminiferal description and biostratigraphy of the Paleocene-Lower Eocene shallow-water limestones and discussion on the Cretaceous-Tertiary boundary in Turkey.- Mineral Research and Exploration (MTA), General Directorate, Ankara, (Monography Series), n° 2, 117 p., 68 pls.

Sirel E. (2003).- Foraminiferal description and biostratigraphy of the Bartonian, Priabonian and Oligocene shallow-water sediments of the southern and eastern Turkey.- Revue Paléobiologie, Genève, vol. 22, n° 1, p. 269-339.

Sirel E. (2004).- Türkije'nin Mesozoyik ve Senozoyik Yeni Bentik Foraminiferleri.- Jeoloji Mühendisleri Odasi Yayinlari 84 (Chamber of Geological Engineers of Turkey: publication 84), Ankara, Emegin Bilimsel Sentezi, özel Sayi 1, 219 p.

Sirel E. & Acar S. (1982).- Praebullalveolina, a new foraminiferal genus from the Upper Eocene of the Afyon and Canakkale region (west of Turkey).- Eclogae geologicae Helvetiae, Basel, vol. 75, n° 3, p. 821-839.

Sirel E. & Acar S. (1993).- Malatyna, a new foraminiferal genus from the Lutetian of the Malatya region.- Geologica Croatica, Zagreb, vol. 42, n° 2, p. 181-188.

Sirel E. & Acar S. (1998).- Malatyna vicensis, a new foraminiferal species from the Bartonian of Vic region (northeastern Spain).- Revue de Paléobiologie, Genève, vol. 17, n° 2, p. 373-379.

Smout A.H. & Eames E.E. (1958).- The genus Archaias (Foraminifera) and its stratigraphical distribution.- Paleontology, London, vol. 1, p. 207-225.

Stache G. (1875).- Neue Beobachtungen in den Schichten der liburnischen Stufe.- Verhandlungen Geologische Reichsanstalt, Wien, Jahrgang 1875, p. 334-338.

Stache G. (1913).- Über Rhipidionina St. und Rhapydionina St.- Jahrbuch der Kaiserlich-Königlichen Geologischen Reichsanstalt, Wien, Jahrgang 1912, vol. 62, p. 659-680.

Tedeschi D. & Papetti I. (1964).- On the occurrence of Peudolituonella in Libya.- Revue de Micropaléontologie, Paris, vol. 7, n° 3, p. 180-187.

Van Wessem A. (1943).- Geology and paleontology of central Camaguey, Cuba.- Ph.D. thesis, Utrecht University; Geographische an Geologische Mededelingen, Utrecht, vol. 2, n° 5, p. 1-91.

Vecchio E. (2003).- La facies a Spirolina nelle successioni carbonatiche del Paleocene-Eocene dell'Italia meridionale: paleontologia, paleoecologia e biostratigrafia delle associazioni a foraminiferi bentonici.- Ph.D. thesis, Università di Napoli, 171 p.

Vecchio E. & Hottinger L. (2007, in press).- Agglutinated conical foraminifera from the lower Middle Eocene of the Trentinara Formation (southern Italy).- Facies, Erlangen, DOI 10.1007/s10347-007-0112-6.


Figures


Click on thumbnail to enlarge the image.

Figure 1: Globoreticulina iranica Rahaghi. Stereograph showing the principal structural elements of an adult chamber. Schematic, not to scale.

Abbreviations: a: aperture; af: apertural face; alv: alveole; b: beam; bl: basal layer; en: endoskeletal ridges; lw: lateral, free chamber wall showing faint marks of inflation of the underlying alveoles; prp: preseptal passage representing most of the chamber lumen; r: rafter; s: septum; sf: septal face; sut: chamber suture.


Click on thumbnail to enlarge the image.

Figure 2: Structural patterns in Praerhapydionina (A), Rhabdorites (B) and Neotaberina (C). Schema of half a cylindrical adult chamber as seen in section perpendicular to the chamber axis. Schematic, not to scale.

Abbreviations: f: foramen; pi: pillar; pst: peristomal rims or folds; s: septum; sl: septulum.


Click on thumbnail to enlarge the image.

Figure 3: Basic structural patterns of some Archaiasinae: planispiral-involute shells with short (A) and long (B) apertural faces relative to the periphery of the shell, and basic pattern of chamber subdivision (C-D) on the septal face including the alar prolongations. Endoskeleton in gray, foramina in the septum in black. C: Penarchaias n. gen. ; D: Archaias operculiniformis Henson; D: Archaias diyarbakirensis (Sirel). Note the socculi that produce a network of ridges on the basal layer covering the septal face. Arrow: coiling axis. Schematic, not to scale.

Abbreviations. af: apertural face; al: alar prolongation of spiral chamber; f: foramen; en: endoskeletal ridges on basal layer grading into septula in advanced species; mr: median ridge standing on periphery of previous whorl; per: periphery of shell; pi: pillar; s: septum; soc: socculus; sut: suture of spiral chambers including their alae; v: vortex.


Click on thumbnail to enlarge the image.

Figure 4:  Tentative range chart of associates of Globoreticulina iranica. Above: European stages and Shallow Benthic Zones. Below: Nummulite standard distribution as related to SBZ zonation according to Serra-Kiel et alii (1998).


Plates


Click on thumbnail to enlarge the image.

Plate 1, figs. 1-9. Globoreticulina iranica Rahaghi, 1978. 1: axial section. Note the oblique sections of the septa showing the disposition of the foramina on the septal face. 2: oblique centered section. In addition a tangential section of Austrotrillina eocaenica n. sp. with its alveolar exoskeleton. 3: oblique section inclined about 30° to the axis of coiling. Note on upper right the almost axial section of the spiral chamber revealing from right to left all the elements of the structure of the chamber. In addition on the lower left an oblique section of Penarchaias glynnjonesi (Henson, 1950). 4: equatorial section. Note the absence of exoskeletal partitions of the chamber lumen in the first six regularly coiled nepionic chambers. 5: oblique centered section near the equatorial plane showing details of the embryo including the long flexostyle. 6: equatorial section of young specimen. 7: tangential section inclined about 45° to the coiling axis. Note the alignment of the endoskeletal ridges on the basal layer at the bottom of the chamber and the differentiation of beams and rafters in the alveolar exoskeleton. 8: two oblique sections. 9: oblique section of specimen crushed prior to cementation of the sediment during early diagenesis.

Abbreviations: alv: alveoli; b: beam; bl: basal layer; f: foramen; en: endoskeletal ridges on basal layer; gl: glomerulus; prp: preseptal passage; r: rafter; s: septum.


Click on thumbnail to enlarge the image.

Plate 2, fig. 1. Austrotrillina ? sp. Large, microspheric specimen with an enormously thickened basal layer and a doubtful alveolar exoskeleton in the final uncoiled chamber. Oblique section; figs. 2-9. Austrotrillina eocaenica n. sp. 2: oblique, almost centered section perpendicular to the apertural axis. Center recrystallized. Note alcoves below the suture of the chamber. In addition, on the upper left, an axial section of the conical nepiont of Neotaberina neaniconica n. gen. n. sp. and on the lower left a part of an oblique section of Archaias operculiniformis Henson, 1950. 3: Top: section of a megalospheric specimen perpendicular to apertural axis tangentially cutting the proloculus. Bottom: microspheric specimen, section in the apertural axis. Note the triangular foramen with a pointed tooth. 4: holotype. Oblique centered section. Note alcoves below the chamber suture. 5: tangential section. Note thickness of basal layer. 6: oblique centered section showing part of long flexostyle. 7: section pependicular to apertural axis. In addition to the left, oblique section of Archaias operculiniformis Henson, 1950. 8: section parallel to and near the apertural axis. In addition, on bottom right, an axial section of a juvenile specimen of Neotaberina neaniconica n. gen. n. sp. 9: section perpendicular to apertural axis; figs. 10-12. "Peneroplis" dusenburyi Henson, 1950. 11-12: axial sections, more or less well centered. 12: oblique and equatorial sections.

Abbreviations: alc: alcoves; alv: alveoli; bl: basal layer; f: foramen; t: tooth; s: septum.

 


Click on thumbnail to enlarge the image.

Plate 3, figs. 1-24. Peneroplis planatus (Fichtel et Moll, 1798). Intraspecific variability of the flaring adult part of the shell. Megalospheric specimens of a recent population in the Persian Gulf. Lateral views, inverted X-ray graphs. Arrows: separation of spiroliniform and peneropliform habits in the same specimen.

 


Click on thumbnail to enlarge the image.

Plate 4, figs. 1-9. Rhabdorites malatyaensis (Sirel, 1976). 1: oblique longitudinal section showing alignment of septula in successive chambers and an empty central chamber lumen and septa with multiple intercameral foramina. 2: Early juvenile stage in off-centered axial section. In addition above, an equatorial section of Archaias operculiniformis Henson, 1950, and on the bottom right an oblique section of "Peneroplis" cf. dusenburyi Henson, 1950. 3: oblique section at a high angle to the adult shell axis. 4: axial section of spiral nepiont with embryo. 5: axial section of microspheric nepiont. At top left a centered subaxial section of Archaias operculiniformis Henson, 1950. 6: oblique section nearly perpendicular to the axis of the adult shell. Note the arrangement of the multiple foramina in radial rows alternating with the septula. 7: oblique section at about 45° to the axis of the adult shell. 8: oblique section almost perpendicular to the axis of the adult shell. Note the radial pattern in the disposition of the foramina on the septal face. 9: oblique section inclined at about 60° to the axis of the shell; figs. 10-14. Praerhapydionina delicata Henson, 1950. 10: Section nearly perpendicular to the shell axis. Note the large, single foramen in the septum. The protruding peristomes responsible for the original stellar outline of the foramen have been cut away. 11: longitudinal section nearly parallel to the shell axis of a microsheric specimen with a short nepionic spire. Note the alignment of the septula in successive chambers. 12: longitudinal section parallel to the axis of the adult shell. 13: subaxial section of the adult shell showing a single central foramen in the late chambers. 14: longitudinal section of megalospheric shell; fig. 15. Haymanella huberi (Henson, 1950) (bottom) and Rhabdorites malatyaensis (Sirel, 1976) (top), oblique sections inclined at about 70° to the axis of the adult shell.

Abbreviations: chs: chamber suture; f: foramen; pst: peristome; rp: radial partition; s: septum; sl: septulum; sl*: region where the alignment of the septula in successive chambers is clearly visible; so: socculus.


Click on thumbnail to enlarge the image.

Plate 5, figs. 1-11. Neotaberina neaniconica n. gen. n. sp. 1: holotype. Subaxial, centered section. 2: spiral nepiont and conical neanic stage, subaxial section. 3-4: oblique sections progressively inclined relative to the axis of the adult shell, showing the pillared endoskeleton. 5: oblique section of neanic stage. On the left a section of Neorhipidionina spiralis n. gen. n. sp. parallel to the coiling axis. 6-7: oblique sections. 8: oblique section inclined at about 70° to the axis of the adult shell. Note the radial alignment of septula and pillars. On the left a section of Neorhipidionina spiralis n. gen. n. sp. parallel to the coiling axis. 9: oblique section with an inclination of about 45° with respect to the axis of the adult shell. 10: oblique section inclined at about 80° with respect to the shell axis. 11: axial sections of the spiral nepionic and conical neanic stage; figs. 12-14. Haymanella huberi (Henson, 1950). 12: spiral nepiont and early uncoiled chambers in longitudinal centered section, Note the interiomarginal position of the foramina in the spiral chambers. 13: Section almost perpendicular to the shell axis showing the single foramen constricted by the peristomes responsible for its stellar outline. 14: longitudinal section slightly inclined with respect to the axis of the shell showing the single foramina and the proximal outline of the chamber partitions. At the bottom an unidentified, large miliolid sectioned along the apertural axis.

Abbreviations: f: foramen; pi: pillar; rp: radial partition; s: septum; sl: septulum.


Click on thumbnail to enlarge the image.

Plate 6, figs. 1-10. Neorhipidionina spiralis n. gen. n. sp. 1: oblique, almost centered section showing the semiinvolute early spiral stage. Note the umbilical depression. 2: oblique section inclined at about 20° with respect to the coiling axis. At bottom left an oblique section of Penarchaias glynnjonesi (Henson, 1950). 3: section parallel to and near coiling axis. Note the disposition of the foramina on the septal face. At the bottom left a section almost perpendicular to the axis of the adult shell of Haymanella huberi (Henson, 1950) showing the stellar foramen and irregular radial chamber partitions. 4: At bottom left an axial section of the holotype of this new species, and at the top right a transverse section parallel to the axis of coiling. In addition at the upper left a transverse section of Archaias operculiniformis Henson, 1950, parallel to the axis of coiling. 5: oblique, almost centered section. At the top, the only section of Neorhipidionina williamsoni (Henson, 1948) found in Rahaghi's material. The species can be recognized by its medium-sized megalosphere, significantly larger than the one in N. spiralis and smaller than the one in N. macfadyeni (Henson, 1948). 6: section parallel to the axis of coiling. 7: oblique section inclined at about 45° to the axis of coiling. Note the umbilical depression on the left side of the section. 8-9: horizontal sections of the flaring adult parts of the shell showing the radial alignement of the septula in successive semiannular chambers. 10: oblique section of the flaring adult part of shell showing the radial pattern of the endoskeleton. At the bottom an oblique section of Penarchaias glynnjonesi (Henson, 1950).

Abbreviations: anp: annular passage; ch: chamber, chamber lumen; chl: chamberlet, chamberlet lumen; f: foramen; rp: radial partition; s: septum; sl: septulum; ud: umbilical depression; wh: whorl suture.


Click on thumbnail to enlarge the image.

Plate 7, figs. 1-6. Archaias diyarbakirensis (Sirel, 1996). Megalosheric specimens. 1: Transverse section parallel to the axis of coiling. 2: oblique section. Megalosphere tangentionally sectioned. Note the disposition of foramina on the septal face of the alar prolongations. 3: oblique centered section. 4: oblique section. Note the socculi on the septal face connecting neighboring pillars by a network of ridges. 5: On the right an oblique centered section revealing an unusually large and irregularly shaped, possibly twinned megalosphere. In addition on the left an oblique section of Neorhipidionina spiralis n. gen. sp. Note the umbilical depression. 6: Top left: transverse section parallel to the axis of coiling. At bottom left, a section of Rhabdorites malatyaensis (Sirel, 1976) inclined at about 60° to the shell axis and on the right an oblique section of Valvulammina deformis d'Orbigny, 1826; figs. 7-8. Penarchaias glynnjonesi (Henson, 1950). Megalospheric specimens, oblique centered and axial sections. 7 left: very large specimen, possibly transitional to Archaias operculiniformis (Henson, 1950).

Abbreviations: f: foramen; pi: pillar; pi*: alignment of pillars in successive chambers; s: septum; so: socculus; ss: septal suture; ud: umbilical depression; wh: whorl suture.


Click on thumbnail to enlarge the image.

Plate 8, figs. 1-10. Archaias operculiniformis Henson, 1950. Megalospheric specimens. 1: oblique, nearly axial section showing the tight winding of the whorls and the disposition of the foramina on the alar septal face. 2: transverse section parallel to the axis of coiling. At the top right, an oblique section of the early whorls of Globoreticulina iranica Rahaghi, 1978. 3: subaxial section. On the left an equatorial section of "Peneroplis" dusenburyi Henson, 1950. 4: transverse section parallel to and near the axis of coiling. Note the single row of pillars in the alar prolongation. In addition, at the top center, a transverse section parallel to but distant from the axis of coiling of Neorhipidionina spiralis n. gen. n. sp. On the right an oblique longitudinal section of Neotaberina neaniconica n. gen. n. sp. inclined at about 20° to the axis of the adult shell. 5: transverse section parallel to the axis of coiling. Note the pillar in the plane of symmetry of the shell standing upright on the periphery of the previous whorl, and the double row of foramina on tha alar septal face. 6: axial sections of Penarchaias glynnjonesi (Henson, 1950) (left) compared to those of Archaias operculiniformis Henson, 1950 (right). Note the presence of pillars in Archaias. 7: subaxial section. On the right, oblique section of the base of the cone of Neotaberina neaniconica n. gen. n. sp., an oblique section of Rotaliconus persicus n. gen. n. sp. and a section of Praerhapydionina delicata Henson, 1950, nearly perpendicular to the axis of the adult shell. 8-9: subequatorial sections. 10: subequatorial section. At top right: oblique section of Penarchaias glynnjonesi (Henson, 1950). At bottom: Rhabdorites malatyaensis (Sirel, 1976).

Abbreviations: anp: (lateral) annular passage; f: foramen; fl: flexostyle; len: lateral endoskeletal ridges on the basal layer grading into septula; men: median endoskeletal ridges; pi: pillar; pr: proloculus; s: septum; wh: whorl suture.


Click on thumbnail to enlarge the image.

Plate 9, figs. 1-8. Coskinolina perpera Hottinger et Drobne, 1980. 1: axial section, off center. In addition, at bottom, tangential section of Globoreticulina iranica Rahaghi, 1978. 2: Axial section. The excentric spiral nepiont is sectioned tangentially. In addition, at top, an oblique section of Medocia blayensis Parvati, 1971. 3: Tangential section parallel to the cone mantel line. In addition, at the bottom, an oblique section through the flaring, adult part of Neorhipydionina spiralis n. gen. n. sp. 4: transverse section parallel to axis of the cone. 5: axial section off-centered. 6: oblique section inclined at about 45° to the cone axis. In addition, at top right a fragment of Austrotrillina eocaenica n. sp. and at the bottom transverse and axial sections of Penarchaias glynnjonesi (Henson, 1950). 7: section perpendicular to the axis of and at the base of the cone showing the disposition of foramina in the septal face. 8: axial section of a specimen with a crushed spiral nepiont. At top left an oblique section of Medocia blayensis Parvati, 1971.

Abbreviations: ch: chamber, chamber lumen; f: foramen; ma: marginal aperture; pi: pillar; s: septum; so: socculus.


Click on thumbnail to enlarge the image.

Plate 10, figs. 1-3. Coskinolina cf. liburnica Stache, 1875. 1: axial section off-centered. Below it, an axial section of "Peneroplis " dusenburyi Henson, 1950. 2: oblique section inclined about 30° to the cone axis. 3: axial section off-centered. Below it, a section perpendicular to the axis of coiling of Medocia blayensis Parvati, 1971; figs. 4-6. Barattolites cf. trentinarensis Vecchio et Hottinger, 2007. 4: oblique centered section of juvenile specimen. At lower right an oblique section of the adult test of Rhabdorites malatyaensis (Sirel, 1976) inclined at about 60° to the axis of the cone. 5: section parallel to and near the axis of the cone. At bottom center an axial section of Neorhipidionina spiralis n. gen. n. sp. 6: subaxial section. In addition, an oblique section of Archaias operculiniformis Henson, 1950; figs. 7-8. Dictyoconus indicus Davies, 1930. 7: axial section of microspheric specimen and radial section of Sorites sp. (So). 8: axial section of megalospheric specimen. On the left: two oblique centered sections of Archaias operculiniformis Henson, 1950, that differ with repect to their angle in relation to the axis of coiling. Bottom left to right: sections of Rhabdorites malatyaensis (Sirel, 1976), Penarchaias glynnjonesi (Henson, 1950) and Neotaberina neaniconica n. gen. n. sp.

Abbreviations: b: beam; ch: chamber lumen; f: foramen; en: endoskeletal ridges on basal layer; m: (empty) chamber margin; pi: pillar; s: septum; wh: whorl suture.


Click on thumbnail to enlarge the image.

Plate 11, fig. 1. Coskinolina douvillei (Davies, 1930). Axial section of juvenile specimen; figs. 2-7, 8 right. Dictyoconus indicus Davies, 1930. Megalospheric specimens. 2 left: oblique centered section showing details of the exoskeleton in a tangential section of the more adult chambers. On the right from top to bottom: oblique sections of Medocia blayensis Parvati, 1976, Penarchaias glynnjonesi (Henson, 1950) and of a fragment of Haymanella huberi (Henson, 1950). 3: axial section, 4: transverse section parallel to axis of the cone, 5: oblique section inclined at about 60° to the axis of the cone. 6: oblique section inclined at about 30° to the axis of the cone. 7: subaxial (left) and basal (right) sections. 8: At top left a fragment of a large shell showing details of the exoskeleton. On the right a section inclined at about 60° to the axis of the cone. Bottom center: a section perpendicular to the axis of the cone of Coskinolina perpera Hottinger et Drobne, 1980. So: Sorites sp.

Abbreviations: b: beam; ch: chamber lumen; f: foramen; ma: marginal foramen; pi: pillar; r: rafter; s: septum; wh: whorl suture.


Click on thumbnail to enlarge the image.

Plate 12, figs. 1-9. Medocia blayensis Parvati, 1971. 1: subaxial section of a possibly microspheric specimen. 2: oblique section inclined about 70° to the axis of coiling. It shows the radial arrangement of the vental cameral septa. Note the umbilical plate glued onto the ventral surface of the previous whorl. At the left, an oblique centered section of Penarchaias glynnjonesi. 3: two oblique sections inclined at about 20° and 30° to the axis of coiling. 4: microspheric (left) and megalospheric (right) shells in oblique sections. 5: on the left: a section approximately parallel to a dorsal cone mantel line. On the right: an axial section of the adult part of the cone of Coskinolina cf. liburnica Stache. 6: axial section. On the far right: the axial section of a juvenile specimen of Globoreticulina iranica Rahaghi, 1978. 7: at the left: Rotaliconus persicus n. gen. n. sp., a section tangential to the convex cone base, and Medocia blayensis Parvati, 1971, an axial section. 8: section approximately parallel to the dorsal cone mantel line. In addition, to the left, an oblique section of Austrotrillina eocaenica n. sp. 9: section parallel to the axis of coiling showing the umbilical plates.

Abbreviations: f: foramen; fo: folium; is: intraseptal canal system; pr: proloculus; spc: spiral canal; up: umbilical plate; vc: funnel.


Click on thumbnail to enlarge the image.

Plate 13, figs. 1-10. Medocia blayensis Parvati, 1971. Megalospheric specimens. 1: oblique section. 2: subaxial section. 3: axial section. In addition, at bottom center and top left, an axial and an oblique section of Penarchaias glynnjonesi (Henson, 1950). 4: axial section (left) and section parallel to the axis of coiling (right). 5: axial section. 6: section through the dorsal part of the shell, almost perpendicular to the axis of coiling, showing the dorsal inclination of the cameral septa. 7: section through the ventral part of the shell, perpendicular to the coiling axis. Note the umbilical plates. At upper left a tangential section of Rotaliconus persicus n. gen. n. sp. 8: oblique sections, much inclined to the axis of coiling (left) and parallel to the axis of coiling (center). On the right an oblique section of Coskinolina perpera Hottinger et Drobne, 1980. 9: section through a dorsal cone apex, perpendicular to the axis of coiling. On the left, a tangential section of Globoreticulina iranica Rahaghi, 1978. 10: axial section of small specimen and horizontally sectioned dorsal cone apex. On the right, a section parallel to the axis of coiling coiling of Archaias diyarbakirensis (Sirel, 1996).

Abbreviations: f: foramen; fo: folium; foa: foliar aperture; is: intraseptal canal system; s: septum; spc: spiral canal; up: umbilical plate; vc: funnel.


Click on thumbnail to enlarge the image.

Plate 14, figs. 1-13. Rotaliconus persicus n. gen. n. sp. Oblique sections. All inclinations estimated in degrees are relative to the axis of coiling of the shell. 1: holotype. Oblique centered section parallel to the cone mantel line. At top left, an oblique centered section of Penarchaias glynnjonesi (Henson, 1950). 2: oblique section inclined about 50°. Note the heavy dorsal ornamentation by perforate pustules. 3: oblique centered section nearly parallel to the cone mantel line. 4: oblique centered section with an inclination of about 60°. 5: oblique centered section inclined at about 30°. 6: transverse section nearly parallel to the coiling axis. 7: oblique centered section, nearly parallel to cone mantel line. Note at left center the tiny porcelaneous streptospiral cornuspirinid (? Gordiospira Heron-Allan et Earland) that is common in Bartonian limestones of the Mediterranean realm and must elsewhere be described and classified properly. 8: oblique section inclined about 40°. 9: two oblique sections. At upper left, an oblique section of Praerhapydionina delicata Henson, 1950. 10: oblique section showing an intercameral foramen. On the right an oblique section of Rabdorites malatyaensis (Sirel, 1976). 11: Section tangential to the convex cone base of a shell fragment that reveals the umbilical structure. 12: section tangential to base of the cone showing the disposition of the funnels along the ventral sutures of the spiral chambers and of their folia. At bottom left, a section perpendicular to the axis of the adult shell of Neotaberina neaniconica n. gen. n. sp. showing its pillared endoskeleton. 13: section tangential to the convex base of the cone, demonstrating the umbilical overlap of the tapered foliar tips. On the left an oblique section of Penarchaias glynnjonesi (Henson, 1950) and on the right an oblique section through the basal part of a Neotaberina neaniconica n. gen. n. sp.

Abbreviations: ch: chamber lumen; dco: dorsal orifice of canal system; f: foramen; fo: folium; foa: foliar aperture; is: intraseptal interlocular space; p: pore; s: septum; up: umbilical plate; vc: funnel.


Click on thumbnail to enlarge the image.

Plate 15, figs. 1-9. Additional material in the Allemann collection from Iran concerning Penarchaias glynnjonesi (Henson, 1950) and some of the associated larger foraminifera. 1-3, 5: Penarchaias glynnjonesi (Henson, 1950), megalospheric specimens. 1: a section parallel and close to the axis of coiling (left) and one tangential to alar prolongations (right). Note the parallel ridges at the bottom of the alae. 2: centered oblique section inclined at about 80° to the axis of coiling. 3: section tangential to an alar prolongation. Note the single row of foramina on the alar septal face. 4: "Peneroplis" sp. lacking endoskeletal ridges. Oblique section showing the single row of alar foramina in an interiomarginal position. On the right, a longitudinal section of the nepiont of Haymanella huberi (Henson, 1950). 5: Equatorial section of large specimen. Note the progressive elongation of the septal face in the final whorl. 6: Orbitolites minimus Henson, 1950. Axial section. Note the complicated intersections ot the multiple flexostyles that constrict the dumbbell-shaped megalosphere. 7: Archaias diyarbakirensis (Sirel, 1996). Axial section of microspheric specimen. 8: From left to right: Oblique sections of Rotaliconus persicus n. gen. n. sp., Neotaberina neaniconica n. gen. n. sp. and Medocia blayensis Parvati, 1971. 9: Five sections of Penarchaias glynnjonesi (Henson, 1950) (left): The axial section shows the symmetry of the interiomarginal foramina in the spiral chamber. The section producing a stellar outline of the test is tangential to the polar realm and shows the indistinct spiral winding of the vortex. In addition, there is an oblique centered section of Orbitolites minimus Henson, 1950, and a section perpendicular to the axis of the adult shell of Rhabdorites malatyaensis (Sirel, 1976).

Abbreviations: f: foramen; fl: flexostyle; en: endoskeletal ridges on basal layer; men: median endoskeletal ridge; pi: pillar; pr: proloculus; s: septum; v: vortex.